Oligodendrogliome de bas grade
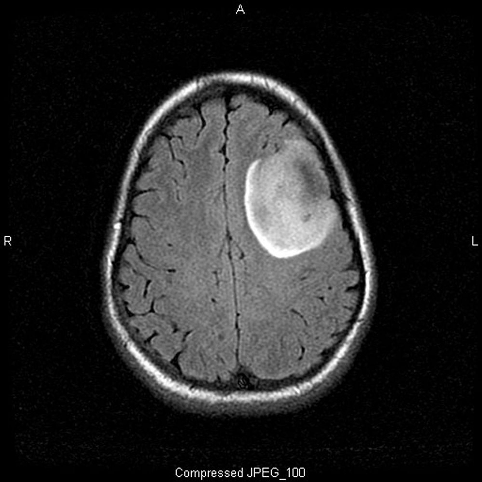
Cette IRM T2-FLAIR (fluid-attenuating inversion recovery) montre un signal blanc, qui peut indiquer une masse ou un œdème. Le signal frontal gauche est très délimité, suggérant une masse. L'utilisation d'un produit de contraste ne le rehausse pas. C'est un oligodendrogliome de bas grade (grade II).
Image courtoisie de William R. Shapiro, MD.
Dans ces sujets
