Ophtalmopathie thyroïdienne (TDM)
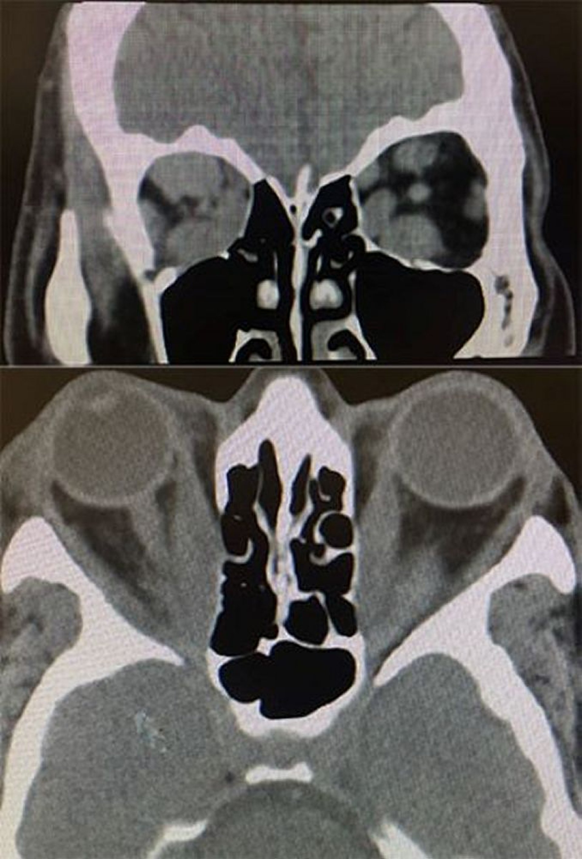
Dans cette image, les TDM axonales et coronales montrent des signes dans l'ophtalmopathie thyroïdienne. En bas: la TDM axiale montre une hypertrophie qui épargne le tendon du muscle droit médial, bilatéralement. En haut: la TDM coronale montre une augmentation de volume des muscles droit inférieur, supérieur et médial plus à droite qu'à gauche.
Images courtesy of Richard C. Allen, MD, PhD.
Dans ces sujets
