Ostéopoikilose du bassin
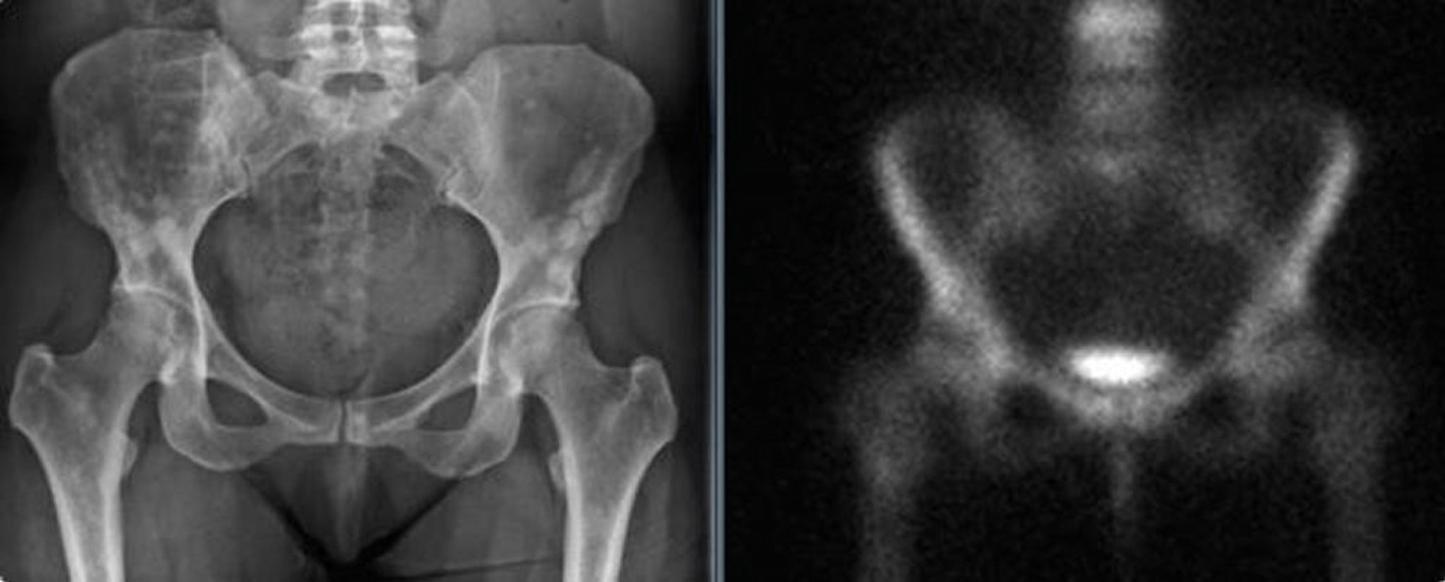
La radiographie pelvienne (à gauche) montre une ostéopoïkilose du bassin chez une femme adulte. Ces densités pourraient être confondues avec des métastases blastiques. La scintigraphie osseuse (à droite) ne montre pas d'augmentation significative de la captation.
Images courtesy of Michael J. Joyce, MD, and David M. Joyce, MD.
Dans ces sujets
