Otite moyenne aiguë
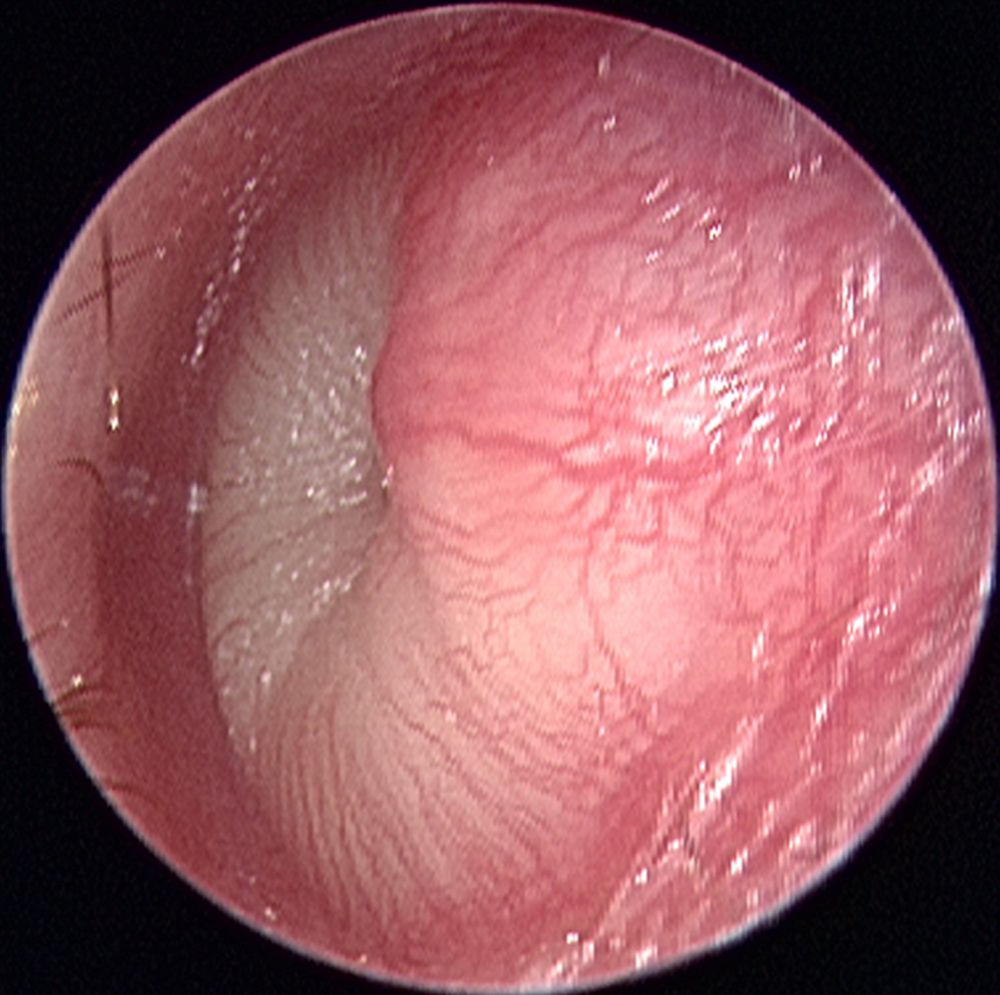
Le tympan gauche dans l'otite moyenne aiguë (en bas) est bombé et érythémateux avec des repères indistincts, cachés par le bombement du tympan.
© Springer Science+Business Media
Dans ces sujets
Le tympan gauche dans l'otite moyenne aiguë (en bas) est bombé et érythémateux avec des repères indistincts, cachés par le bombement du tympan.
© Springer Science+Business Media