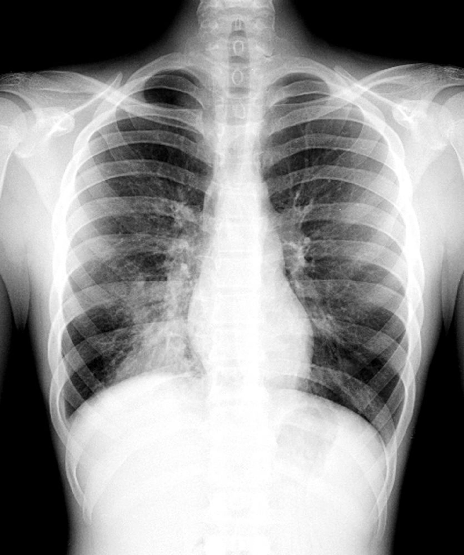
Pneumonie du lobe inférieur droit
Cette radiographie pulmonaire montre un infiltrat qui ne masque pas le bord droit du cœur (c'est-à-dire, il n'y a pas de signe de silhouette). Le signe de la silhouette se développant lorsque 2 structures contiguës ont une radiodensité similaire, la partie du poumon affectée par cet infiltrat est la partie non contiguë au bord droit du cœur; cette partie est le lobe inférieur droit.
LIVING ART ENTERPRISES, LLC/SCIENCE PHOTO LIBRARY
Dans ces sujets
