Pneumonie sévère
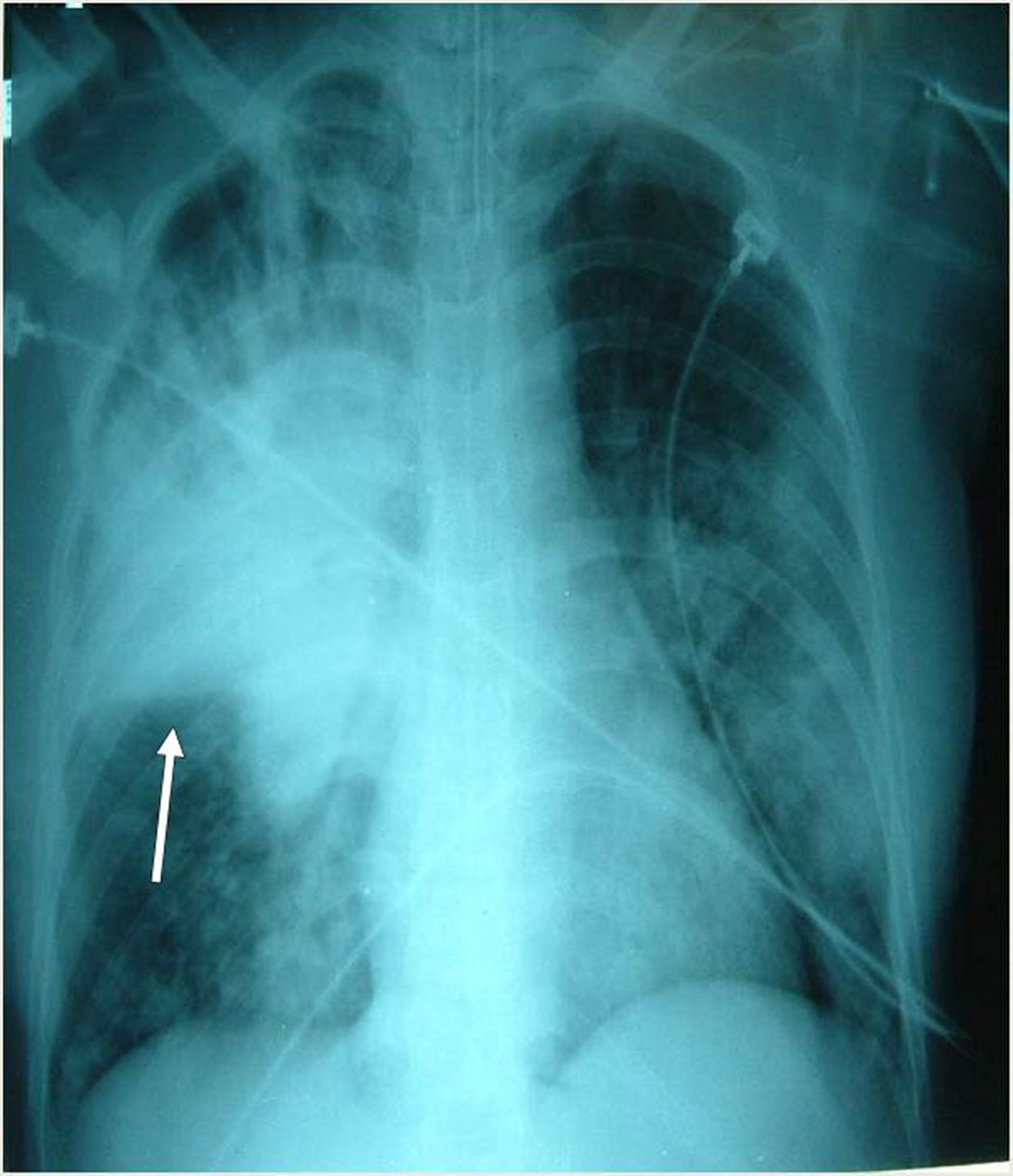
Ce patient intubé a de multiples infiltrats bilatéraux, principalement dans le lobe supérieur droit. La flèche indique la scissure horizontale droite.
Photo courtesy of Thomas M. File, Jr., MD MSc MACP FIDSA FCCP.
Dans ces sujets
Ce patient intubé a de multiples infiltrats bilatéraux, principalement dans le lobe supérieur droit. La flèche indique la scissure horizontale droite.
Photo courtesy of Thomas M. File, Jr., MD MSc MACP FIDSA FCCP.