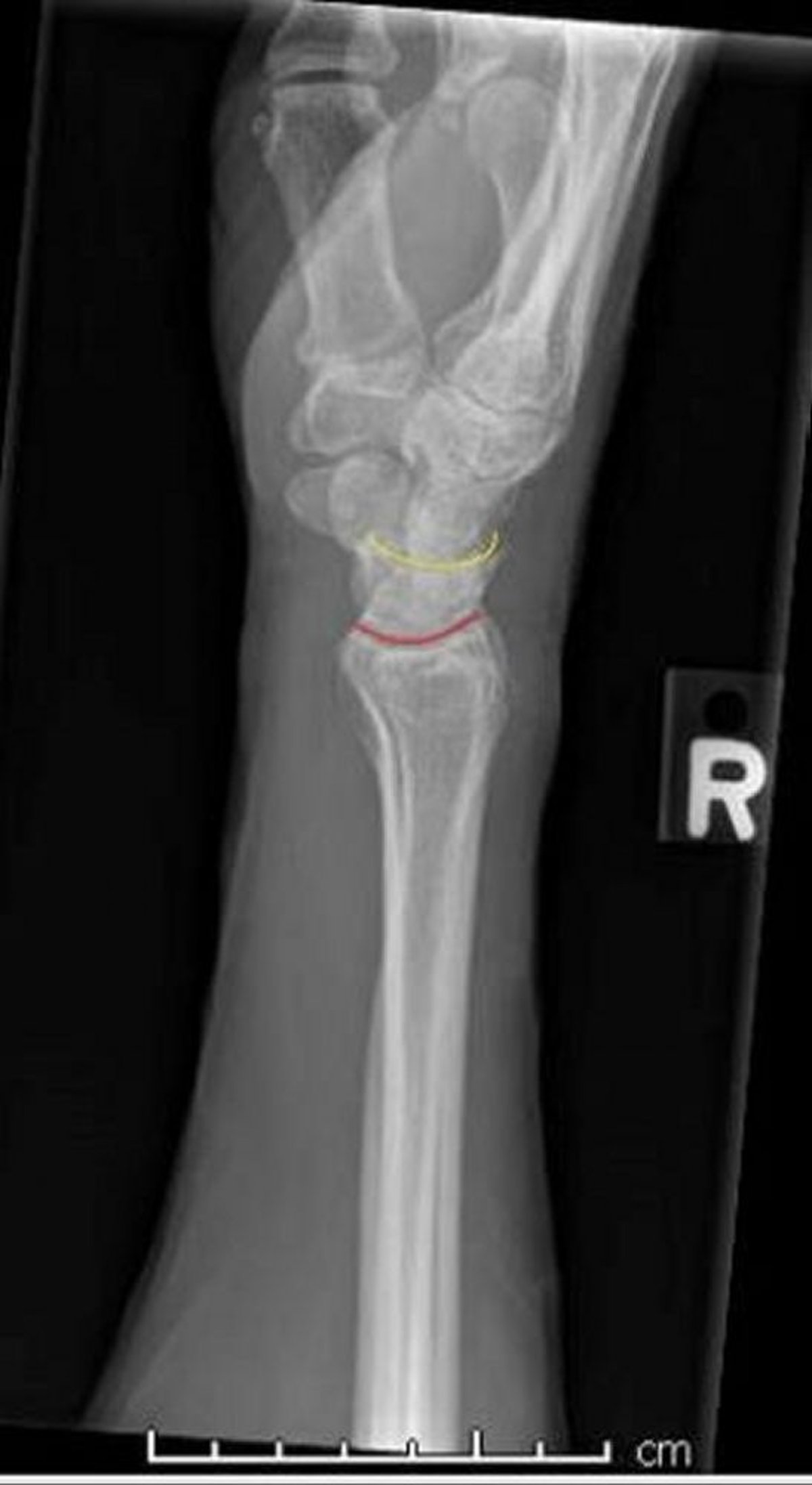
Poignet normal: vue latérale
Cette vue de profil d'un poignet normal montre l'interface normale entre le radius et le semi-lunaire (ligne rouge) et le semi-lunaire et le capitatum (ligne jaune).
Image courtoisie de Danielle Campagne, MD.
Dans ces sujets
