Pseudo-anévrisme de l'aorte abdominale (TDM)
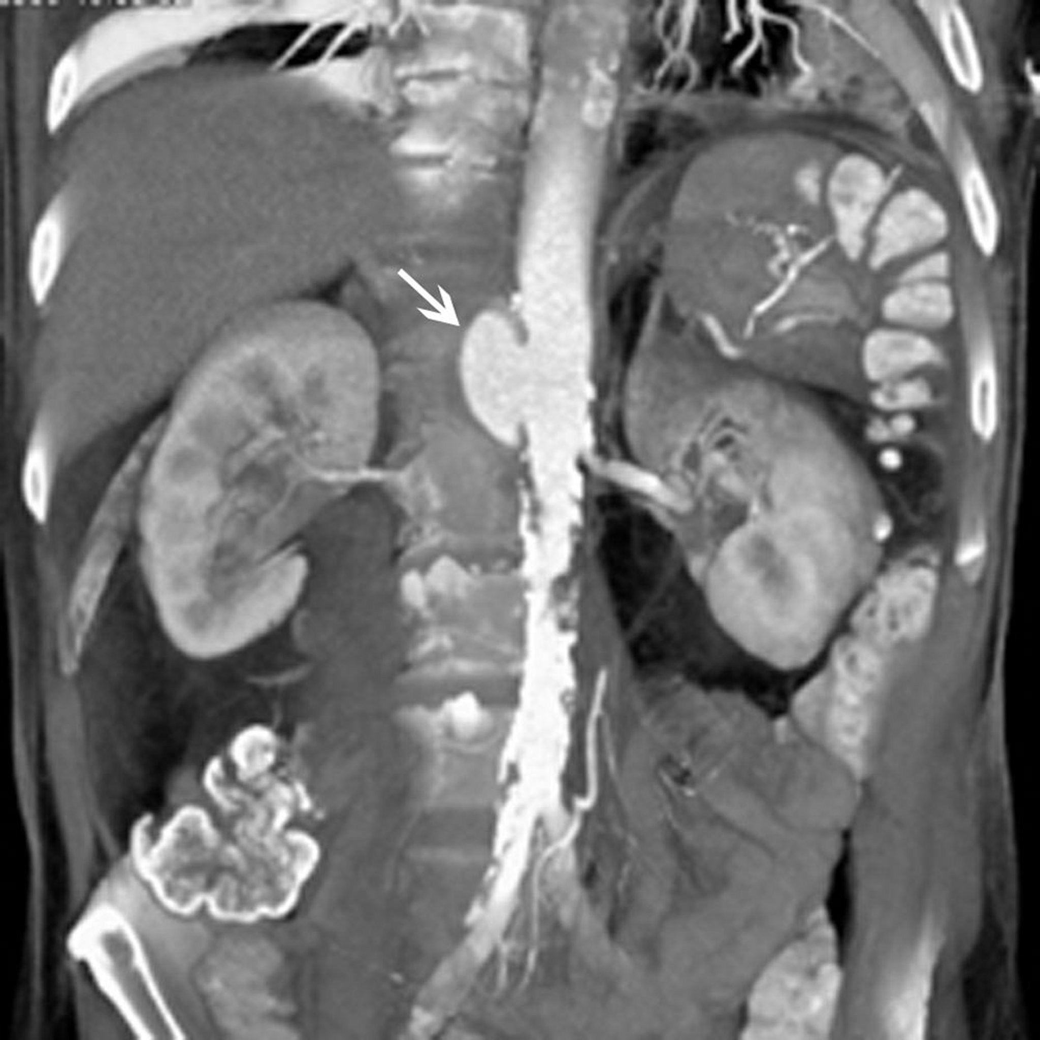
La flèche blanche montre un pseudo-anévrisme de l'aorte abdominale suprarénale. Il existe également une plaque étendue dans l'aorte sous-rénale et les artères iliaques.
© 2017 Elliot K. Fishman, MD.
Dans ces sujets
