Rétinopathie diabétique (non proliférante)
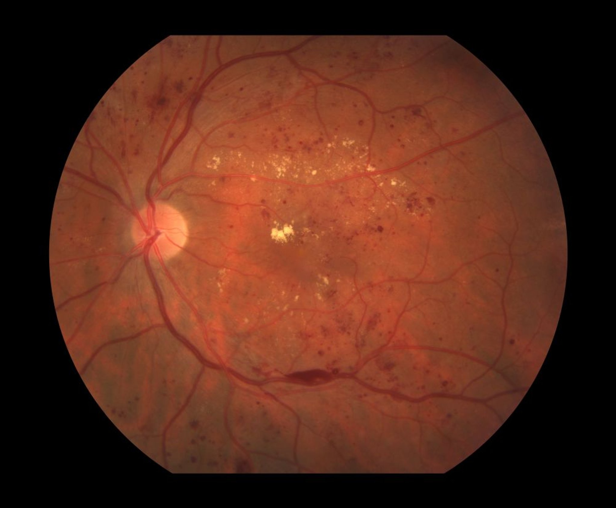
Les signes au fond d'œil dans la rétinopathie diabétique non proliférante comprennent des hémorragies rétiniennes et des exsudats durs (plaques jaunes).
Paul Whitten/SCIENCE PHOTO LIBRARY
Dans ces sujets
Les signes au fond d'œil dans la rétinopathie diabétique non proliférante comprennent des hémorragies rétiniennes et des exsudats durs (plaques jaunes).
Paul Whitten/SCIENCE PHOTO LIBRARY