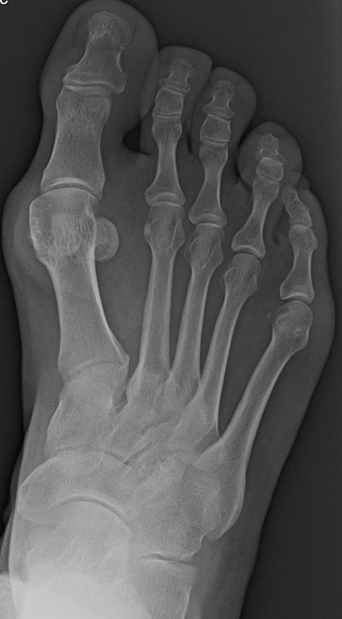
Radiographie de face du pied avec un hallux valgus
Cette incidence de face du pied montre des signes radiographiques compatibles avec un hallux valgus, avec déviation médiale du premier métatarsien. Il existe également une subluxation latérale de la base de la première phalange proximale par rapport à la tête du premier métatarsien.
Image courtoisie de James C. Connors, DPM.
Dans ces sujets
