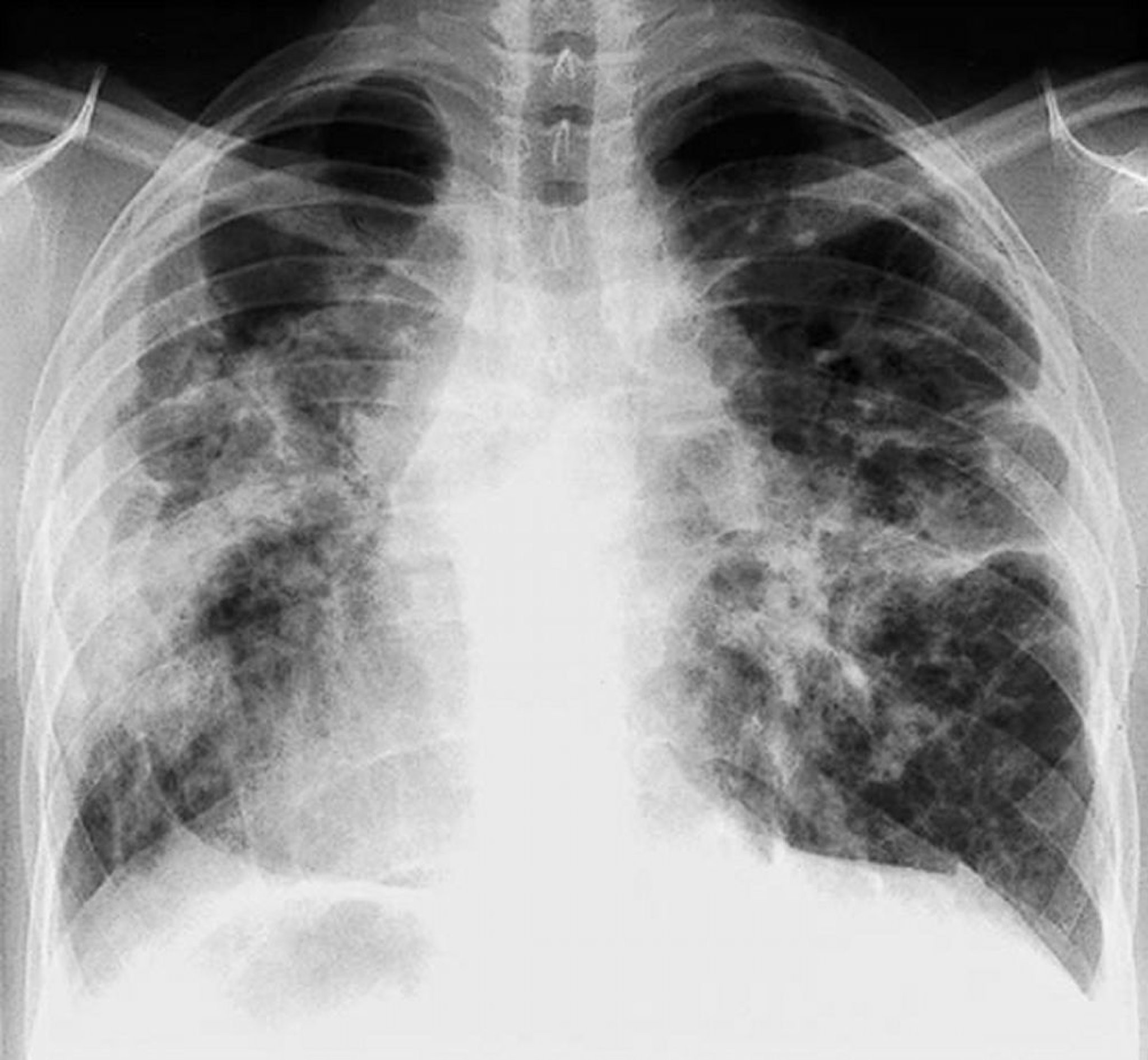
Sarcoïdose (stade IV)
Fibrose sévère, diffuse avec adénopathie hilaire et anomalies kystiques des lobes supérieurs au stade IV de la sarcoïdose.
By permission of the publisher. From: Tanoue L, Elias J. In Bone's Atlas of Pulmonary and Critical Care Medicine. Edited by J Crapo. Philadelphia, Current Medicine, 2005.
Dans ces sujets
