Sinusite ethmoïdale avec abcès sous-périosté
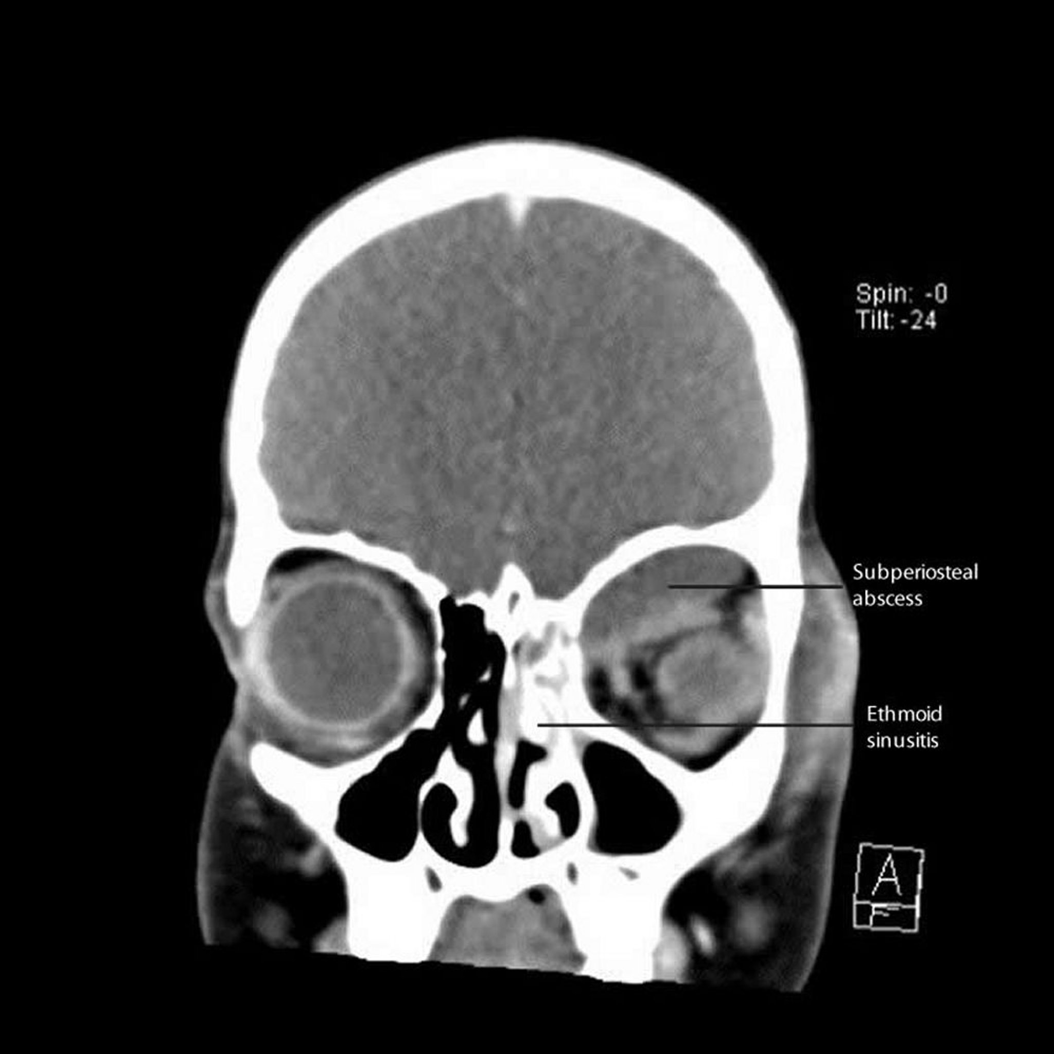
Cette TDM montre une sinusite ethmoïdale gauche avec un abcès sous-périosté adjacent situé le long de la paroi interne et du toit de l'orbite.
CT courtesy of James Garrity, MD.
Dans ces sujets
Cette TDM montre une sinusite ethmoïdale gauche avec un abcès sous-périosté adjacent situé le long de la paroi interne et du toit de l'orbite.
CT courtesy of James Garrity, MD.