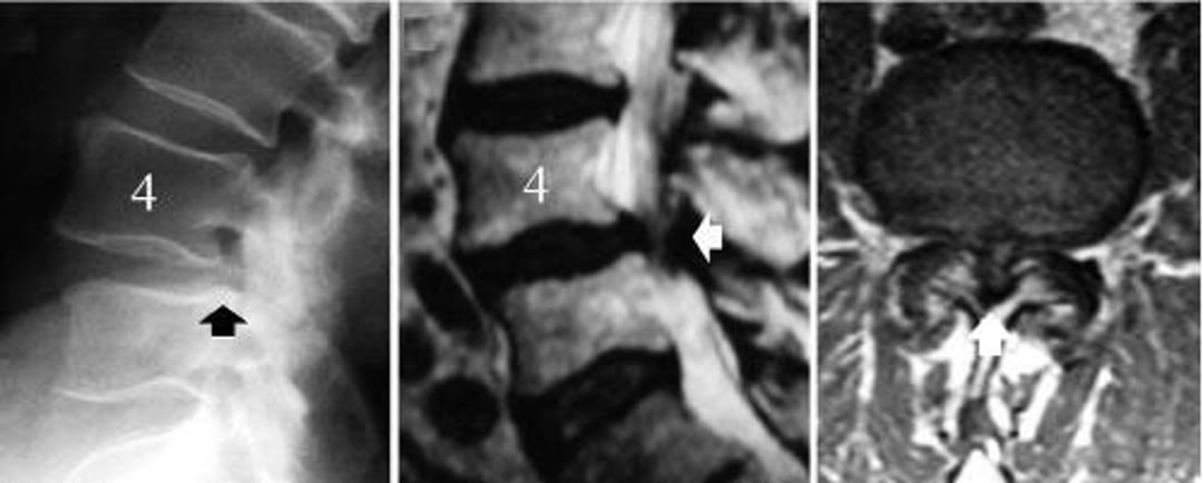
Sténose rachidienne lombaire causée par un spondylolisthésis dégénératif de L4-L5
L'image de gauche est une radiographie de profil du rachis lombaire montrant un glissement de la vertèbre L4 (flèche noire, le bord postérieur du corps vertébral L5 ne s'aligne pas avec celui de L4). L'image du milieu est une IRM mésagittale montrant la compression des structures neurales (flèche blanche). L'image de droite est une IRM axiale montrant une sténose spinale sévère au niveau du spondylolisthésis dégénératif, L4-5 (flèche blanche).
© Springer Science+Business Media
Dans ces sujets
