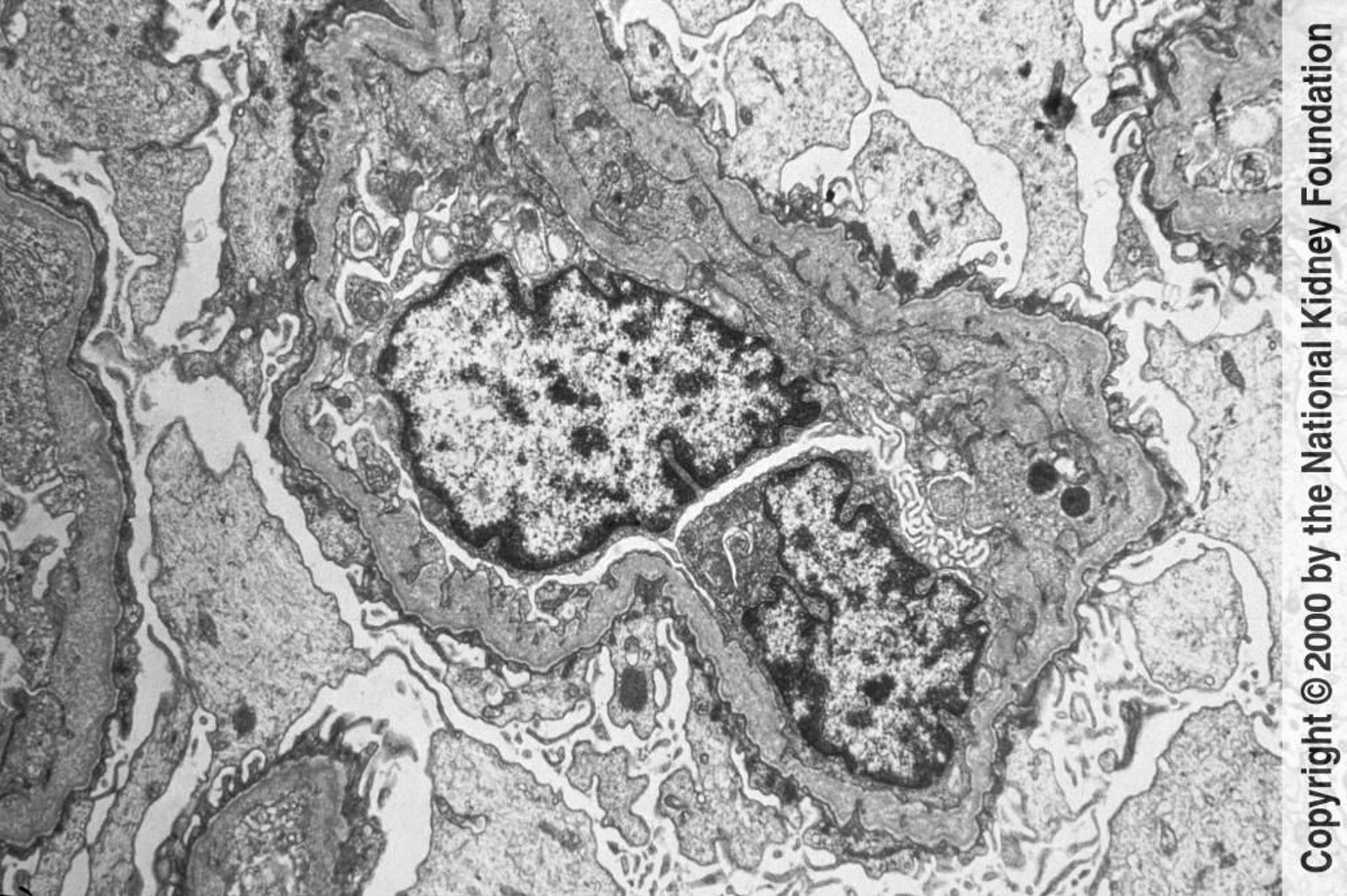
Syndrome d'Alport (néphrite héréditaire)
Les membranes basales glomérulaires montrent un amincissement et un épaississement irréguliers avec un aspect lamellé en forme de nacelle en microscopie électronique à transmission. Les modifications sont causées par les blessures et le remodelage (×6000).
Image fournie par Agnes Fogo, MD, and the American Journal of Kidney Diseases' Atlas of Renal Pathology (voir bwww.ajkd.org).
Dans ces sujets
