honeypot link
skip to main content
Professionnels de la santé
Grand public
Le Manuel Merck
Version pour professionnels de la santé
SUJETS MÉDICAUX
RESSOURCES
COMMENTAIRE
PROCÉDURES ET EXAMENS
QUESTIONNAIRES
À PROPOS DE
SUJETS MÉDICAUX
RESSOURCES
<
Images
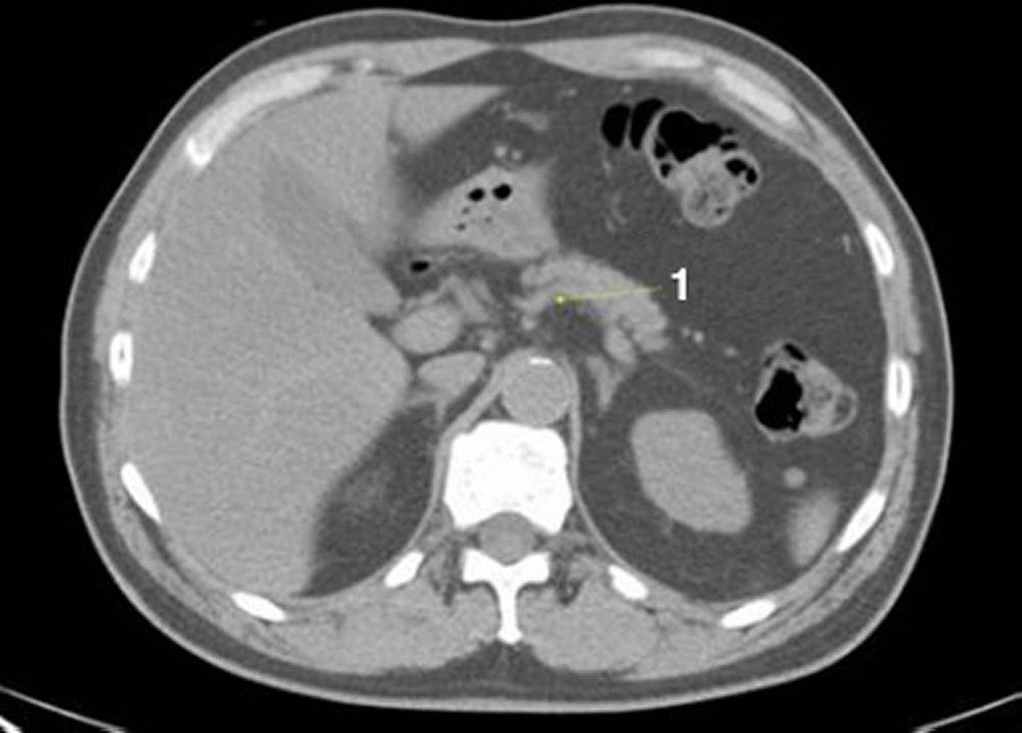
TDM sans contraste de l'abdomen et du bassin montrant une anatomie normale (diapositive 7)
1 = veine splénique.
© Springer Science+Business Media
Dans ces sujets
Évaluation du patient gastro-intestinal
>