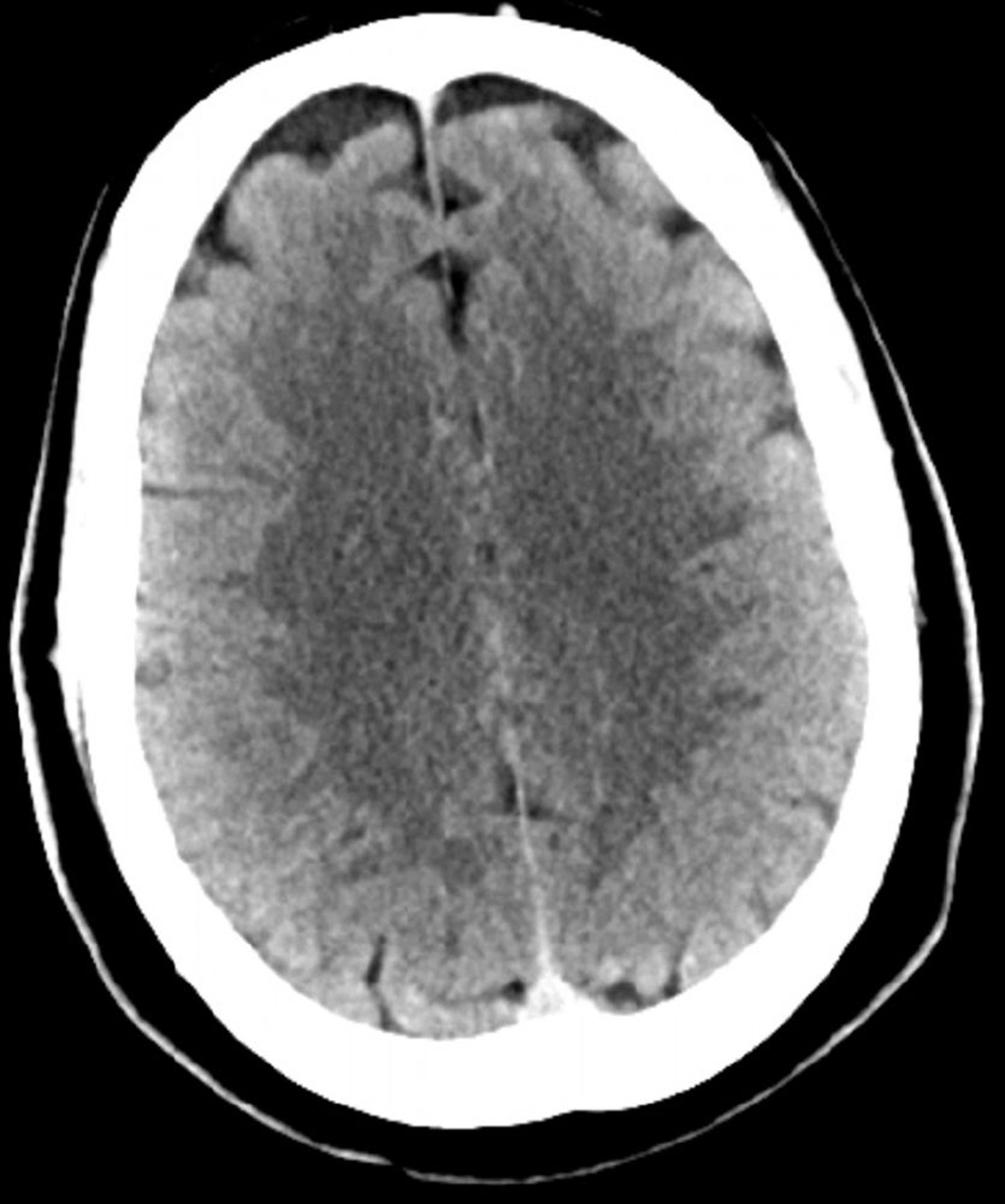
Tomodensitométrie normale de la tête (adulte 30 ans) – Diapositive 2
Cette image est une TDM normale de la tête d'un jeune adulte âgé de 30 ans. Il n'y a pas de liquide intra- ou extra-axial ou d'hémorragie. La différenciation gris-blanc est préservée. La forme des sillons est normale.
© 2017 Elliot K. Fishman, MD.
Dans ces sujets
