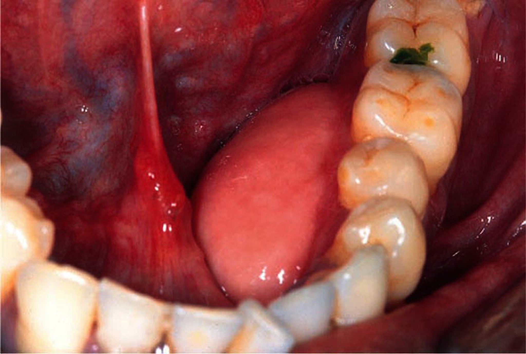
Torus mandibulaire
Une excroissance bénigne de la face linguale de la mandibule est visible ici sur le côté gauche de la bouche du patient.
© Springer Science+Business Media
Dans ces sujets
Une excroissance bénigne de la face linguale de la mandibule est visible ici sur le côté gauche de la bouche du patient.
© Springer Science+Business Media