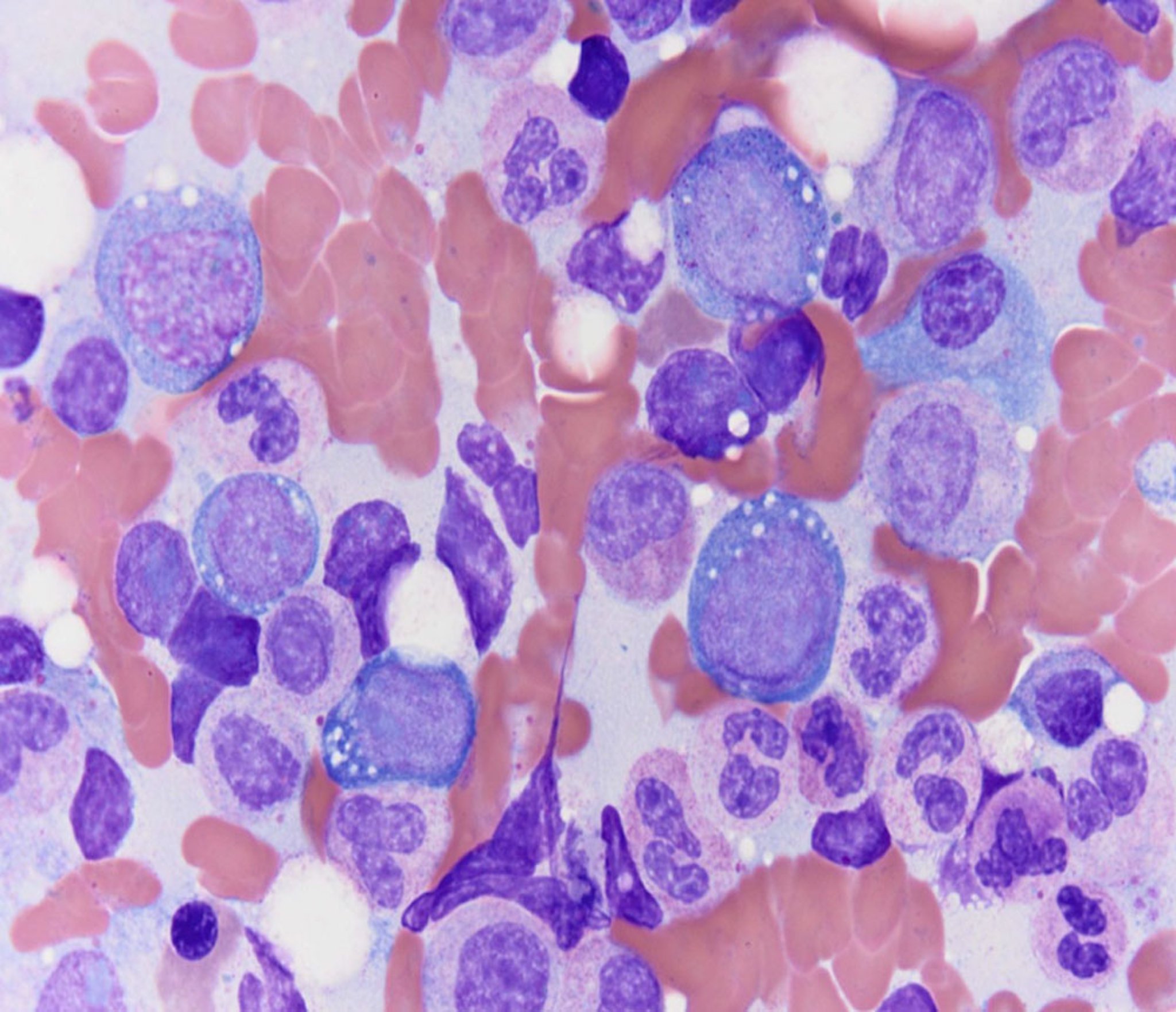
Vacuoles dans le syndrome VEXAS
Cette image montre une moelle osseuse hypercellulaire avec vacuolisation atypique chez un patient atteint du syndrome VEXAS (vacuoles, enzyme E1, lié à l'X, auto-inflammatoire, somatique).
Image courtoisie de Kinanah Yaseen, MD.
Dans ces sujets
