History of Present Illness
Review of Systems
Past Medical History
Physical Examination
Essential Differential Diagnosis
Relevant Testing
Test Results
Test Interpretation
Diagnosis
Treatment Orders
Question 1
Question 2
Question 3
About the Case
Cough in a 54-yr-old Man
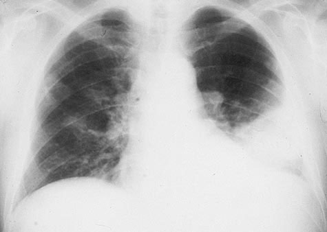
Test Interpretation
Chest x-ray is obtained and is shown.
Your browser does not support HTML5 .
Which of the following is the correct interpretation of the chest x-ray? (Please select only one option.)
Next