History of Present Illness
Review of Systems
Past Medical History
Physical Examination
Essential Differential Diagnosis
Relevant Next Steps
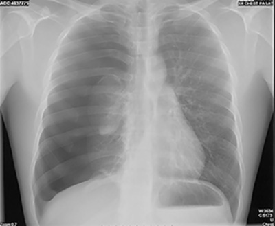
Test Result 1
Essential Immediate Steps
Question 1
Question 2
Question 3
About the Case
Dyspnea and Back Pain in a 24-yr-old Man
Test Results 1
Which of the following is the correct interpretation of this chest x-ray?
The mass is really the collapsed right lung.
Next