History of Present Illness
Review of Systems
Past Medical History
Physical Examination
Essential Differential Diagnosis
Relevant Next Steps
Test Result 1
Test Result 2
Diagnosis
Treatment Orders
Question 1
Question 2
Question 3
Question 4
About the Case
Left-sided Abdominal Pain in a 45-yr-old Man
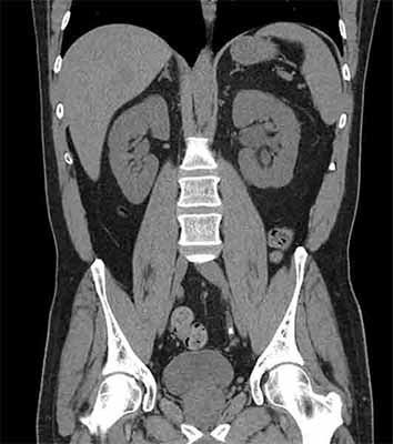
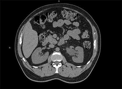
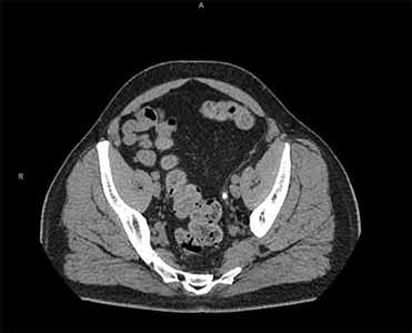
Test Result 2
CT scans without contrast of the abdomen and pelvis are obtained and are shown.
Select each image to review.
Next
Your browser does not support HTML5.