Reccurent Headaches in a 31-yr-old Woman

Test Interpretation

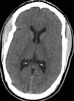
CT scan of the head without contrast is obtained and is shown. Which of the following is a correct reading of the CT scan?

Your browser does not support HTML5 .