History of Present Illness
Review of Systems
Past Medical History
Physical Examination
Essential Differential Diagnosis
Essential Immediate Steps
Test Result 1
Test Interpretation
Relevant Testing
Test Result 2
Diagnosis
Treatment Orders
Question 1
Question 2
Question 3
About the Case
Chest Pain in a 49-yr-old Woman
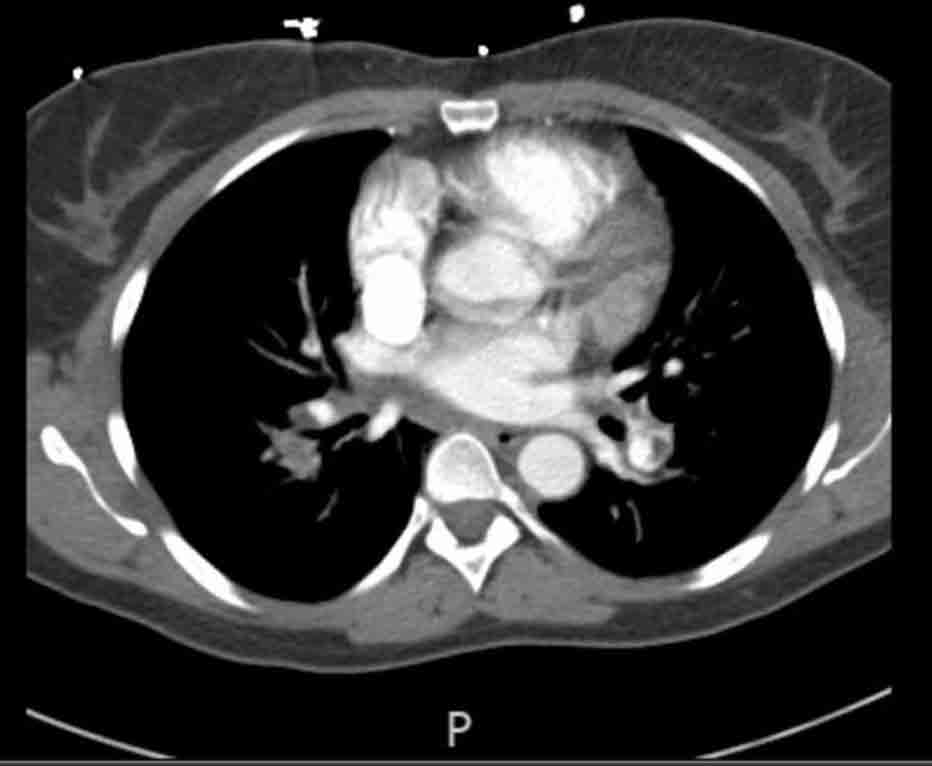
Test Result 2
CT scan of the chest with IV contrast is obtained and shows a filling defect in bilateral upper and lower segmental pulmonary arteries on pulmonary arterial phase.
Your browser does not support HTML5.
Next