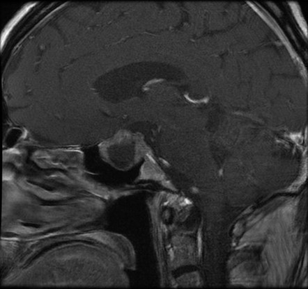
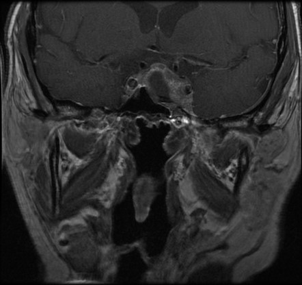
54-year-old man with weight gain and muscle weakness

Imaging Results

Results of MRI of the pituitary gland return and are shown:



Which of the following is a correct interpretation of the MRI of the pituitary gland? (Please select only one option.)


Intraventricular bleed into 3rd and 4th ventricle