Acute Tubular Necrosis
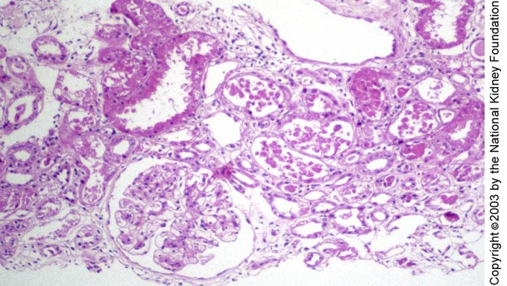
Tubular injury in acute tubular necrosis may be manifest histologically as regenerating flattened tubular epithelium without necrosis, as seen to the right of the glomerulus, blebbing and individual cell degeneration, as in the top left, or frank necrosis, as in the middle of the image (periodic acid-Schiff stain, ×100).
Image provided by Agnes Fogo, MD, and the American Journal of Kidney Diseases' Atlas of Renal Pathology (see www.ajkd.org).
In these topics
