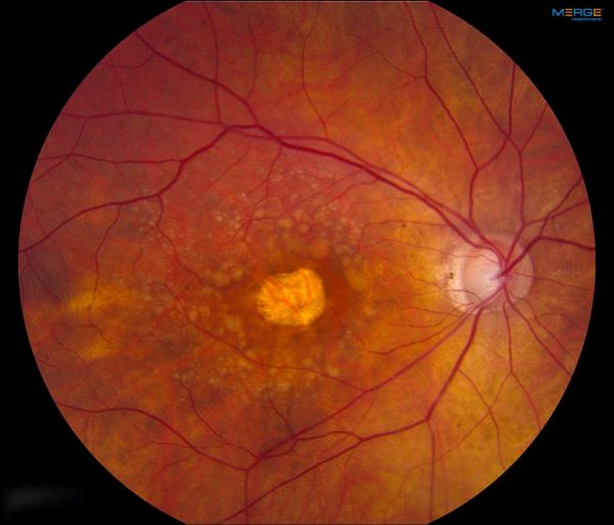
Age-Related Macular Degeneration (Dry, Advanced)
Over time, some eyes develop central atrophy of the retinal pigment epithelium and photoreceptors. This can result in significant central vision loss, which is characteristic of advanced AMD.
Image provided by Sunir Garg, MD.
In these topics
