Anaplastic Astrocytoma
This T2-FLAIR MRI scan shows a white signal in the posterior temporal lobe. The signal is not enhanced by contrast. It is an anaplastic (grade III) astrocytoma.
Image courtesy of William R. Shapiro, MD.
In these topics
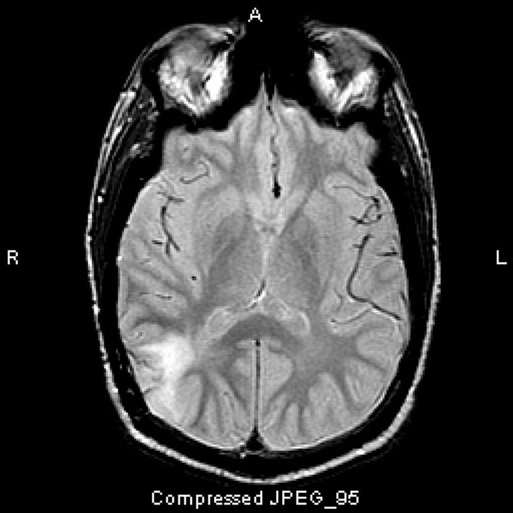
This T2-FLAIR MRI scan shows a white signal in the posterior temporal lobe. The signal is not enhanced by contrast. It is an anaplastic (grade III) astrocytoma.
Image courtesy of William R. Shapiro, MD.