Antiglomerular Basement Membrane Antibody Disease
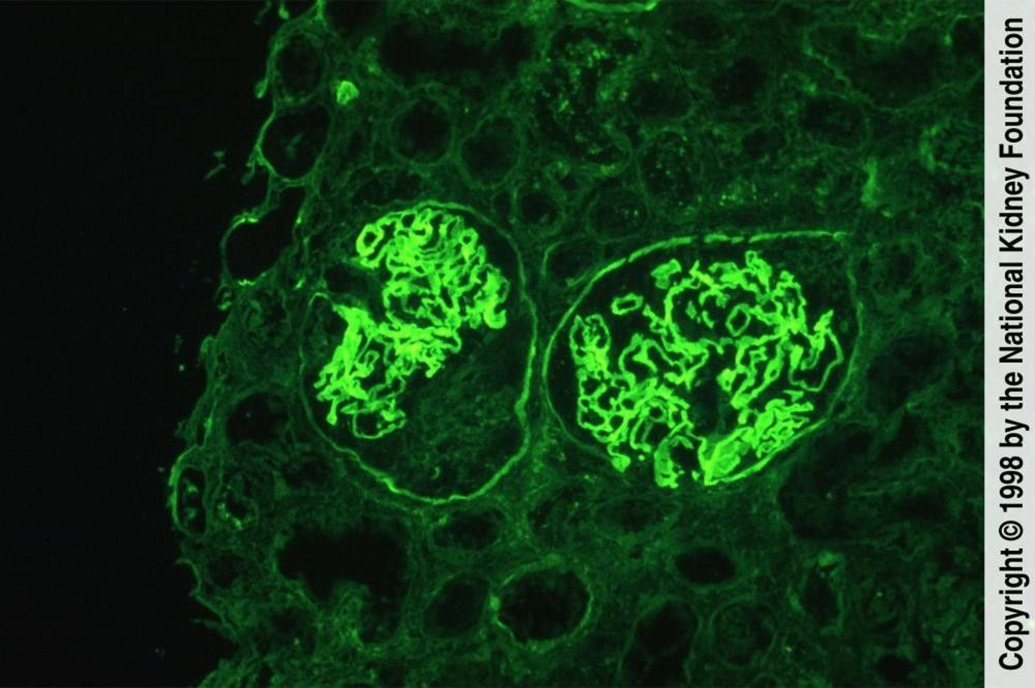
Antiglomerular basement membrane antibody disease is characterized by smooth, linear staining of glomerular basement membranes with antibody to IgG. The left glomerulus demonstrates crescent formation (immunofluorescence with anti-IgG, ×200).
Image provided by Agnes Fogo, MD, and the American Journal of Kidney Diseases' Atlas of Renal Pathology (see www.ajkd.org).
In these topics
