Ascending Aorta in Patient with Takayasu Arteritis
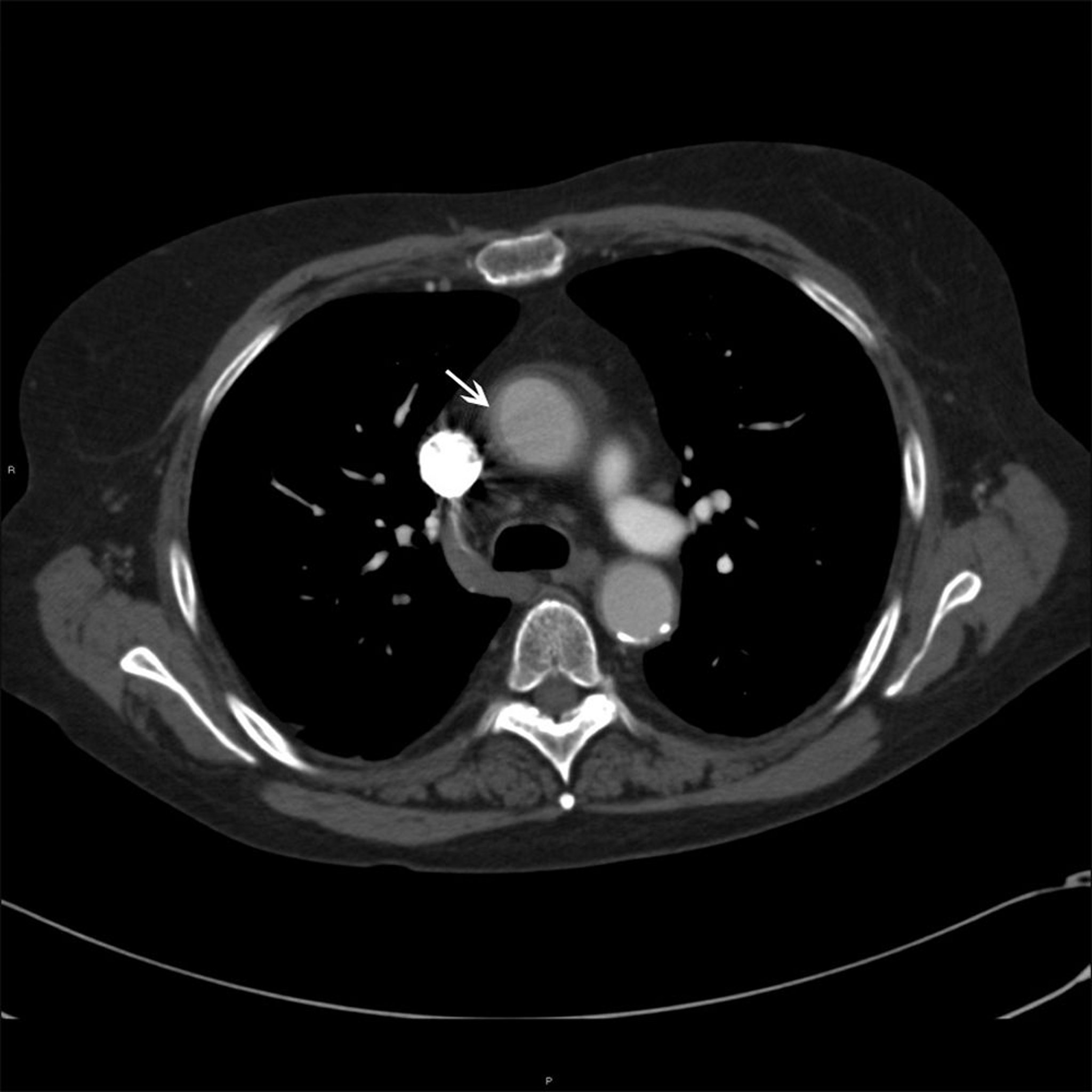
This photo shows mural thickening (white arrow) of the ascending aorta in a patient with Takayasu arteritis.
© 2017 Elliot K. Fishman, MD.
In these topics
This photo shows mural thickening (white arrow) of the ascending aorta in a patient with Takayasu arteritis.
© 2017 Elliot K. Fishman, MD.