Atelectasis and Left Lung Collapse (Radiograph)
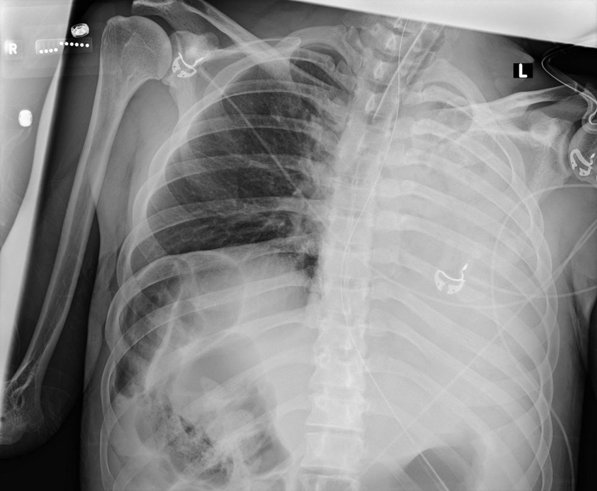
This chest radiograph shows collapse of all lobes of the left lung due to a mucus plug.
Courtesy of Alexander S. Niven, MD
In these topics
This chest radiograph shows collapse of all lobes of the left lung due to a mucus plug.
Courtesy of Alexander S. Niven, MD