Brain Metastases
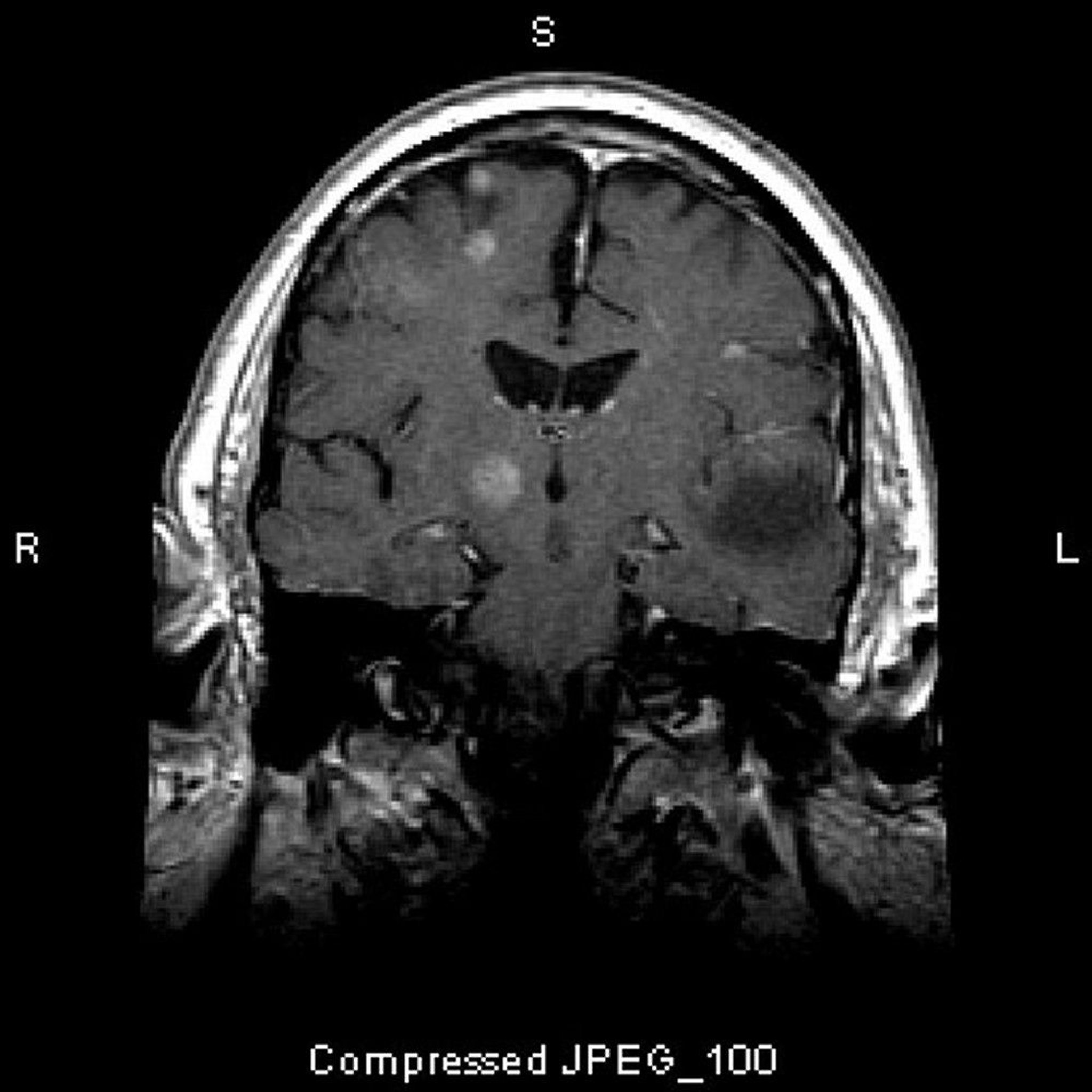
This MRI scan shows multiple brain lesions, representing metastatic tumors. Over 80% of brain metastases are multiple.
Image courtesy of William R. Shapiro, MD.
In these topics
This MRI scan shows multiple brain lesions, representing metastatic tumors. Over 80% of brain metastases are multiple.
Image courtesy of William R. Shapiro, MD.