Chest Radiograph of a Patient with Constrictive Pericarditis
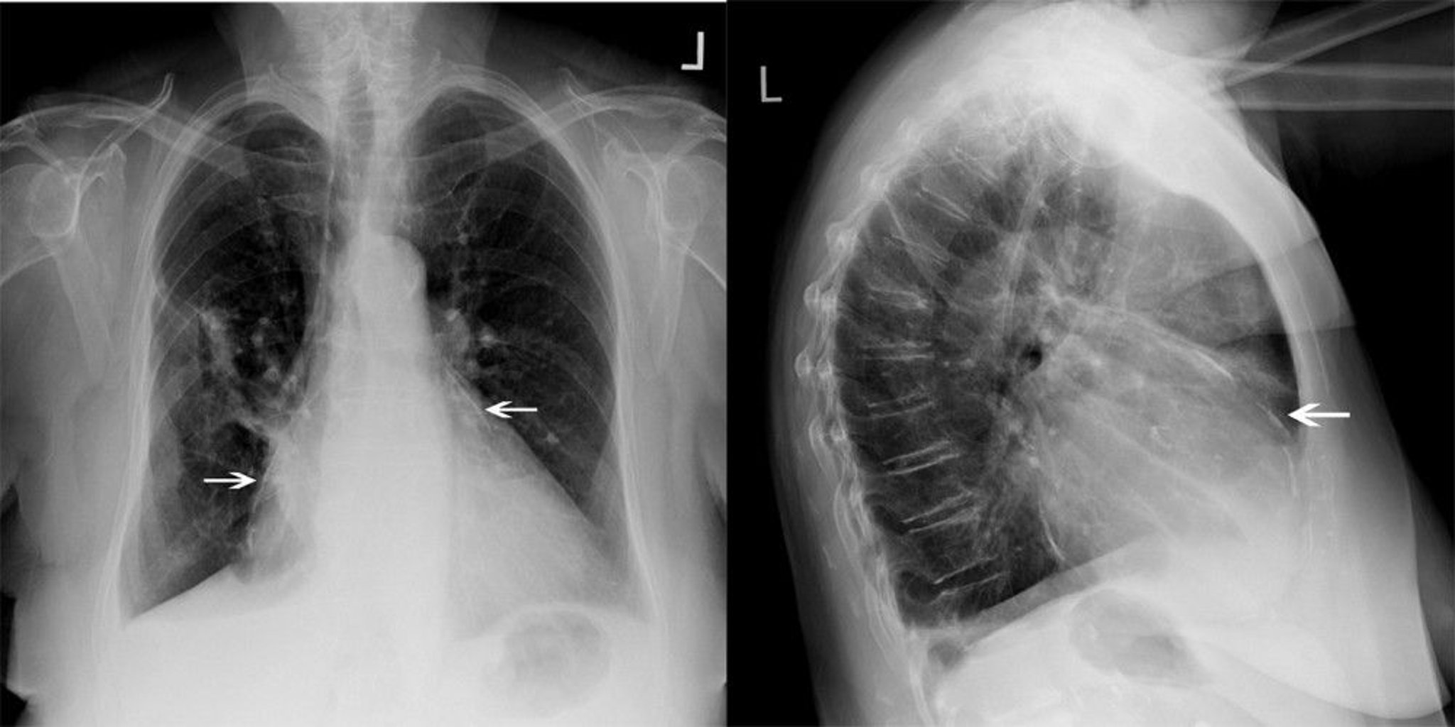
This patient with constrictive pericarditis has significant pericardial calcification (white arrows).
© 2017 Elliot K. Fishman, MD.
In these topics
This patient with constrictive pericarditis has significant pericardial calcification (white arrows).
© 2017 Elliot K. Fishman, MD.