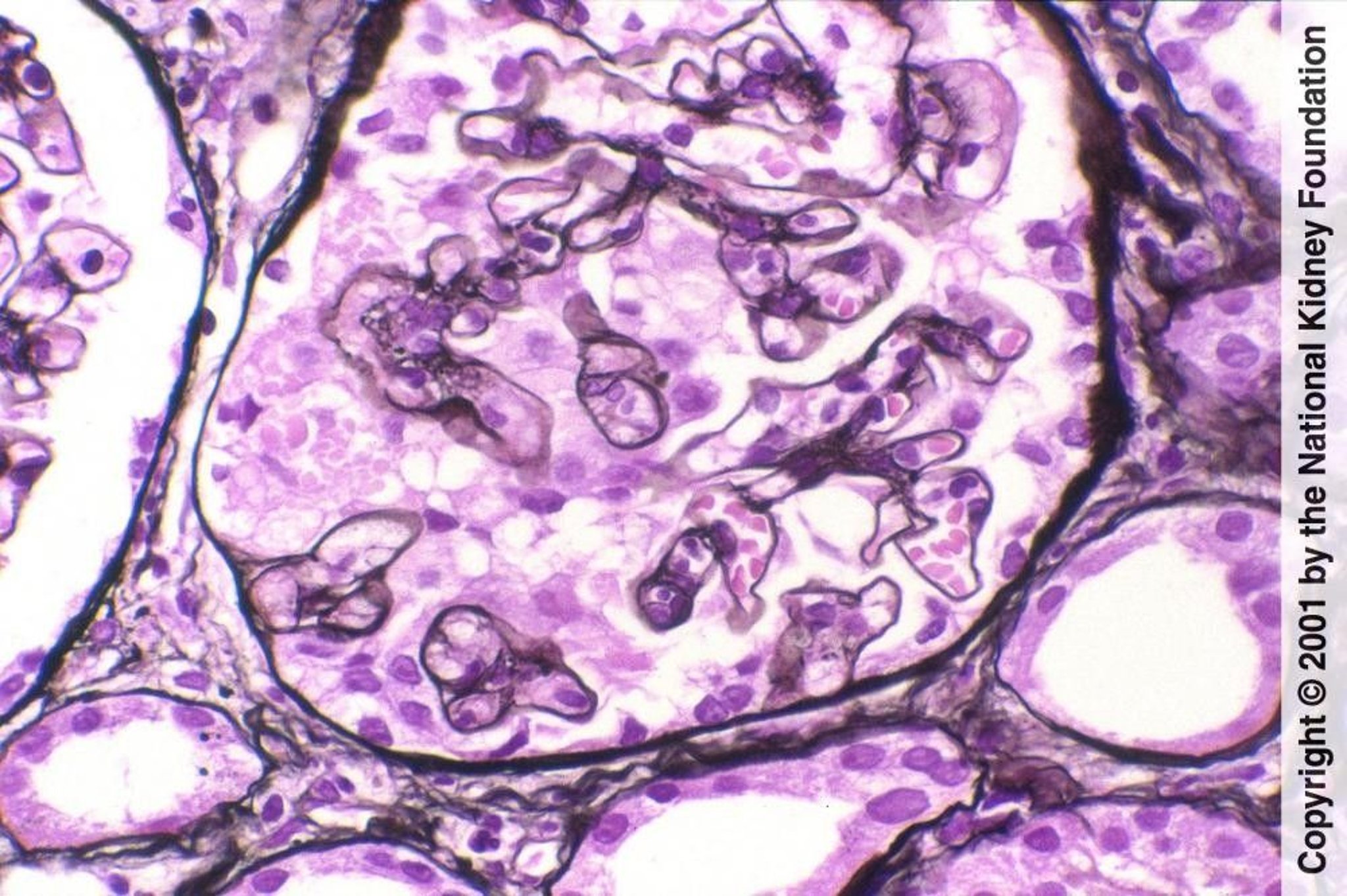
Collapsing Glomerulopathy
Wrinkling or collapse of the glomerular tuft, accompanied here by microcystic dilation of tubules, may occur with focal segmental glomerulosclerosis or HIV-associated nephropathy and is a marker of unfavorable prognosis (Jones silver stain, ×400).
Image provided by Agnes Fogo, MD, and the American Journal of Kidney Diseases' Atlas of Renal Pathology (see www.ajkd.org).
In these topics
