Congenital Cytomegalovirus Infection
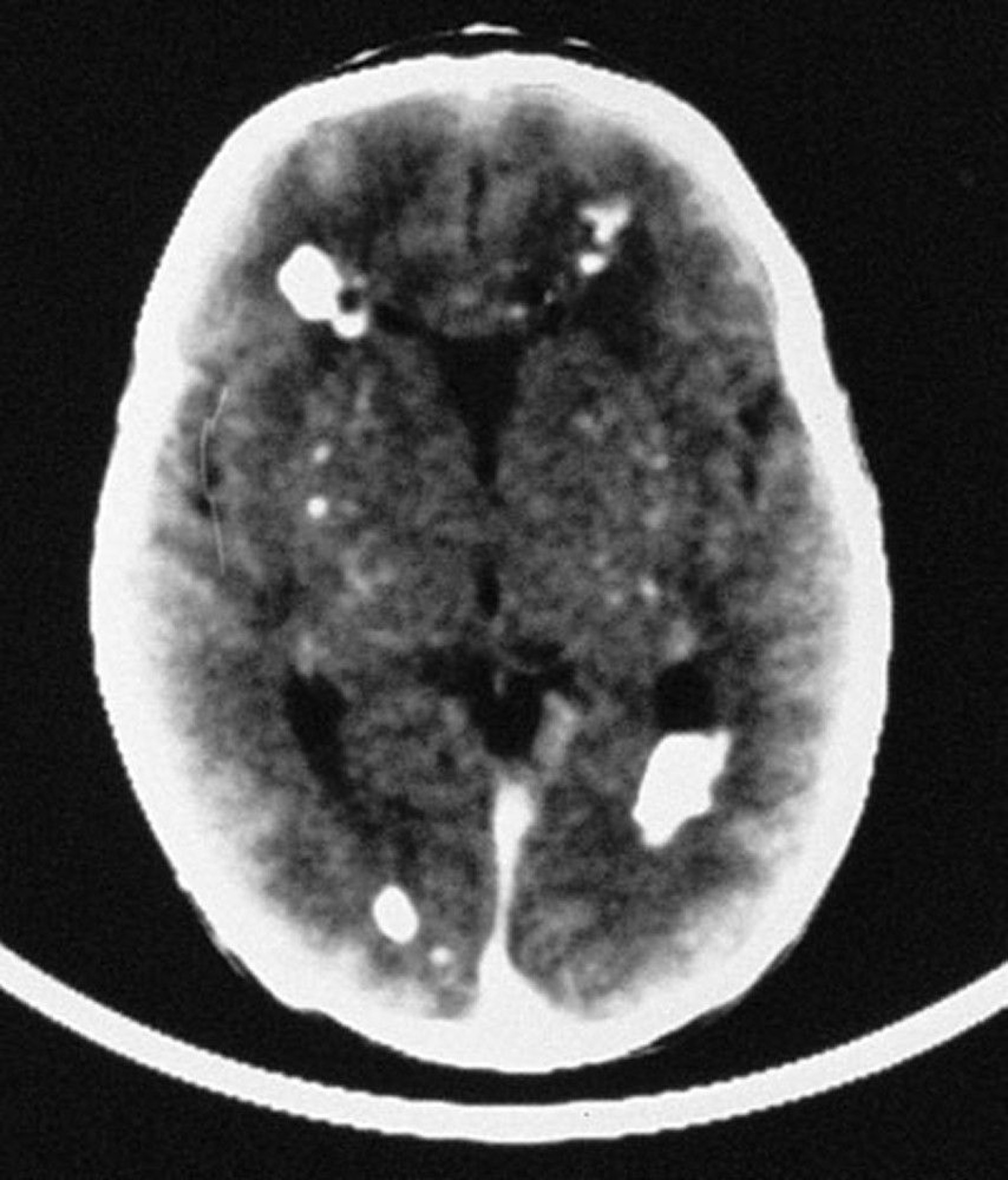
In this image, the CT scan reveals multiple intracranial calcifications, mostly periventricular in distribution, but also involving vascular structures of the brain.
By permission of the publisher. From Demmler G: Congenital and perinatal infections. In Atlas of Infectious Diseases: Pediatric Infectious Diseases. Edited by CM Wilfert. Philadelphia, Current Medicine, 1998.
In these topics
