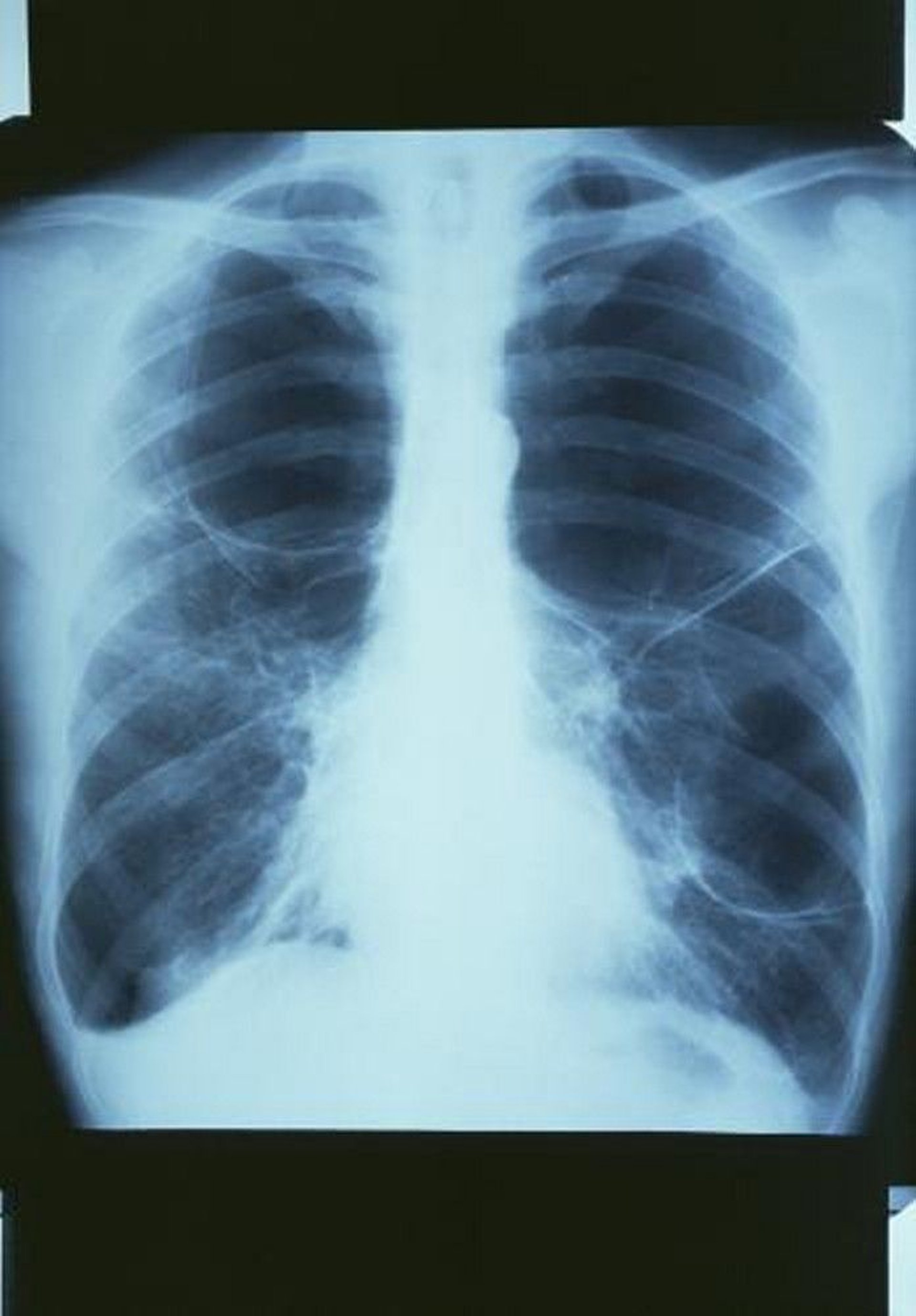
COPD with Bullae
This chest radiograph shows a large bulla in the upper right lung and 2 large bullae in the left lung.
GJLP/CNRI/SCIENCE PHOTO LIBRARY
In these topics
This chest radiograph shows a large bulla in the upper right lung and 2 large bullae in the left lung.
GJLP/CNRI/SCIENCE PHOTO LIBRARY