Cryptogenic Organizing Pneumonia
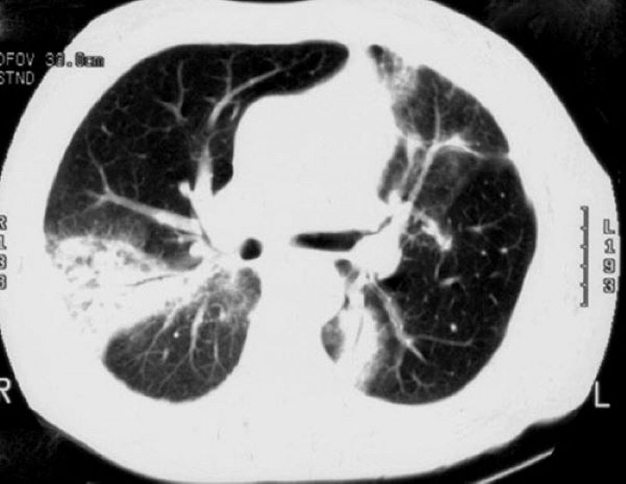
High-resolution CT shows patchy airspace consolidation, ground-glass opacities, small nodular opacities, and bronchial wall thickening and dilation (air bronchograms).
Image courtesy of Talmadge E. King, MD.
In these topics
