CT of the Head
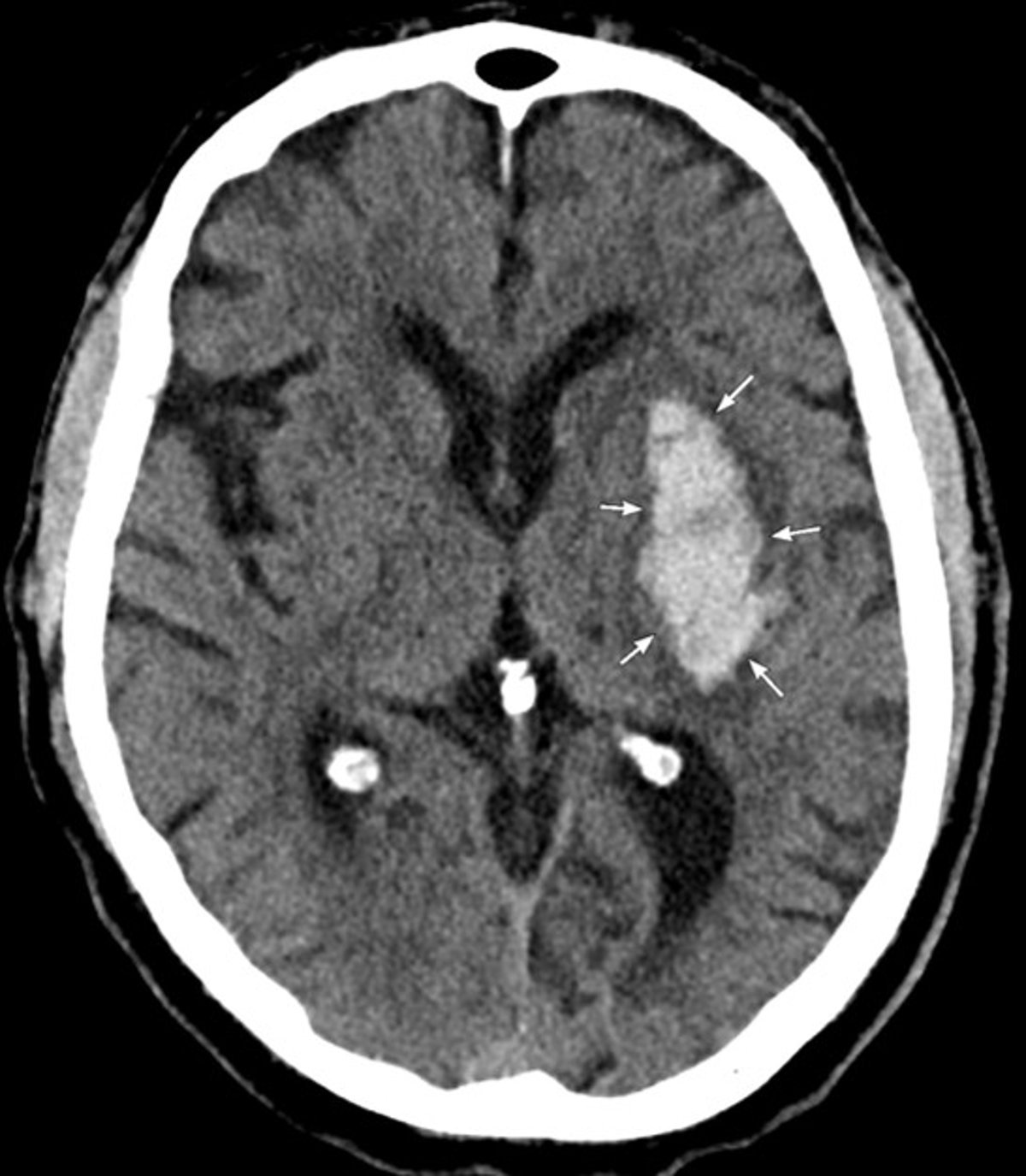
CT shows an acute hemorrhage in the left basal ganglia that is consistent with hypertensive intracerebral hemorrhage.
Image courtesy of Mustafa Mafraji, MD.
In these topics
CT shows an acute hemorrhage in the left basal ganglia that is consistent with hypertensive intracerebral hemorrhage.
Image courtesy of Mustafa Mafraji, MD.