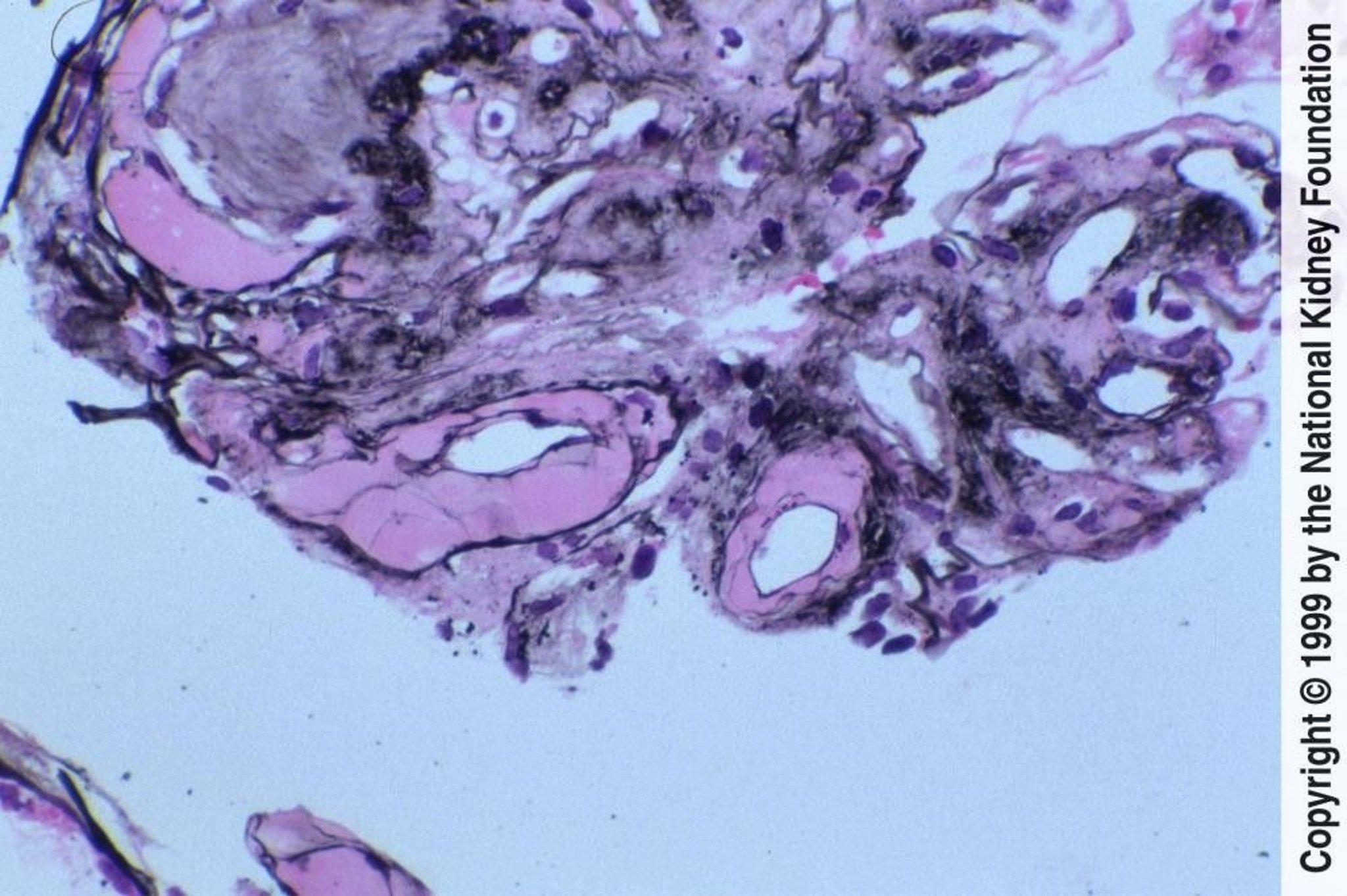
Diabetic Nephropathy (Hyalinosis)
Hyalinosis of both afferent and efferent arterioles.
Image provided by Agnes Fogo, MD, and the American Journal of Kidney Diseases' Atlas of Renal Pathology (see www.ajkd.org).
In these topics
Hyalinosis of both afferent and efferent arterioles.
Image provided by Agnes Fogo, MD, and the American Journal of Kidney Diseases' Atlas of Renal Pathology (see www.ajkd.org).