Esophageal Web
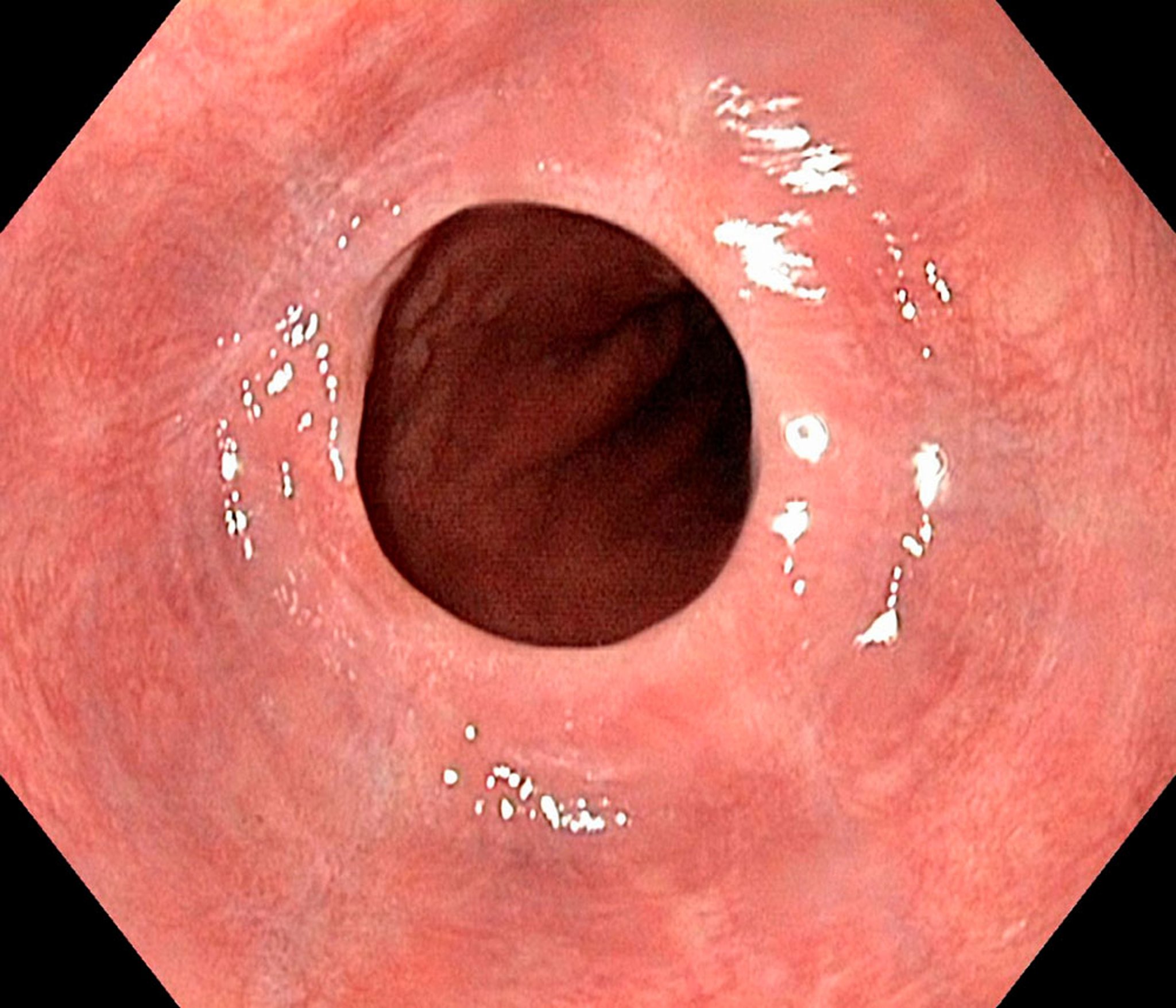
This image shows an esophageal web, a thin membrane that grows across the lumen in the middle or upper esophagus.
GASTROLAB/SCIENCE PHOTO LIBRARY
In these topics
This image shows an esophageal web, a thin membrane that grows across the lumen in the middle or upper esophagus.
GASTROLAB/SCIENCE PHOTO LIBRARY