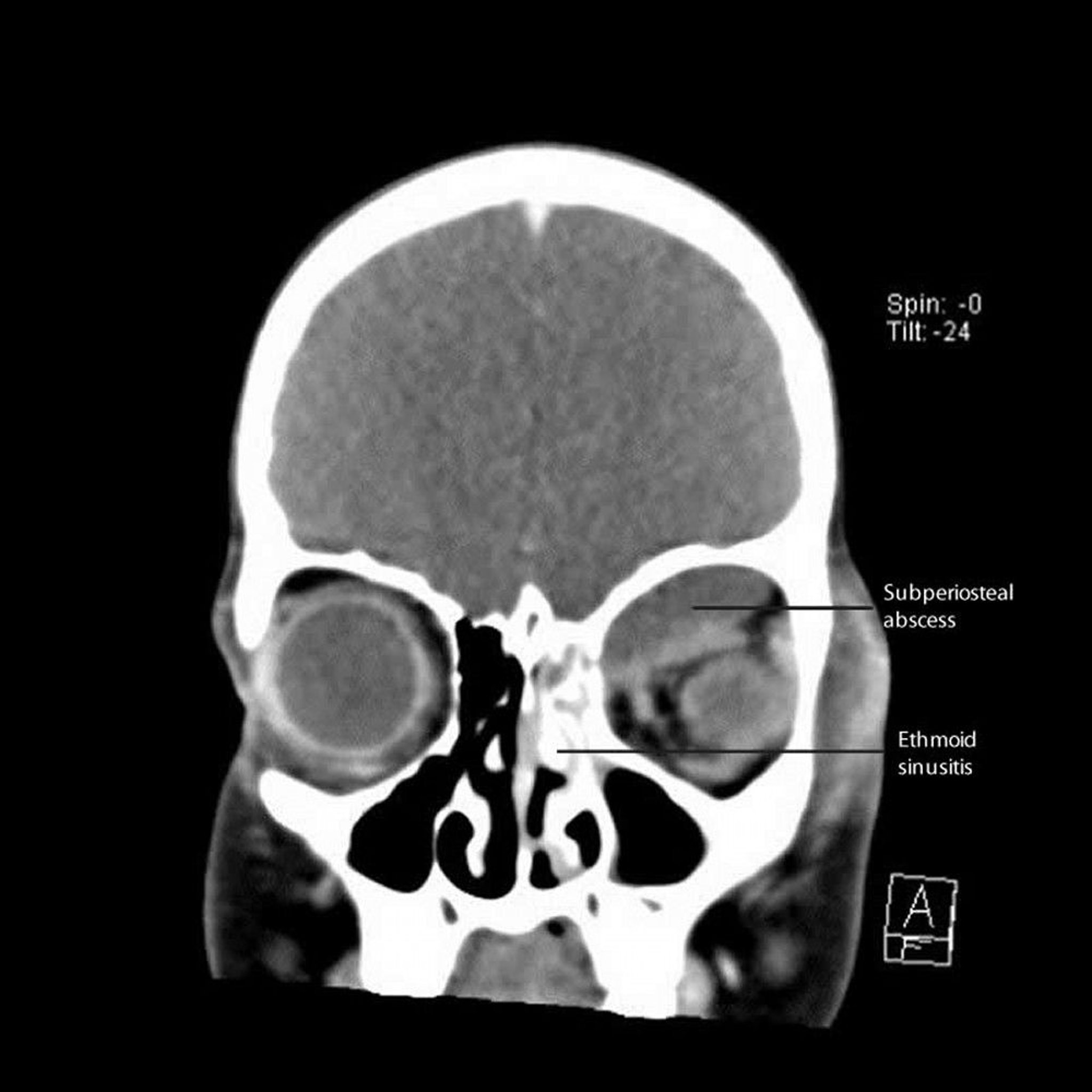
Ethmoid Sinusitis With Subperiosteal Abscess
This CT shows a left ethmoid sinusitis with adjacent subperiosteal abscess along the medial wall and roof of the orbit.
CT courtesy of James Garrity, MD.
In these topics
This CT shows a left ethmoid sinusitis with adjacent subperiosteal abscess along the medial wall and roof of the orbit.
CT courtesy of James Garrity, MD.