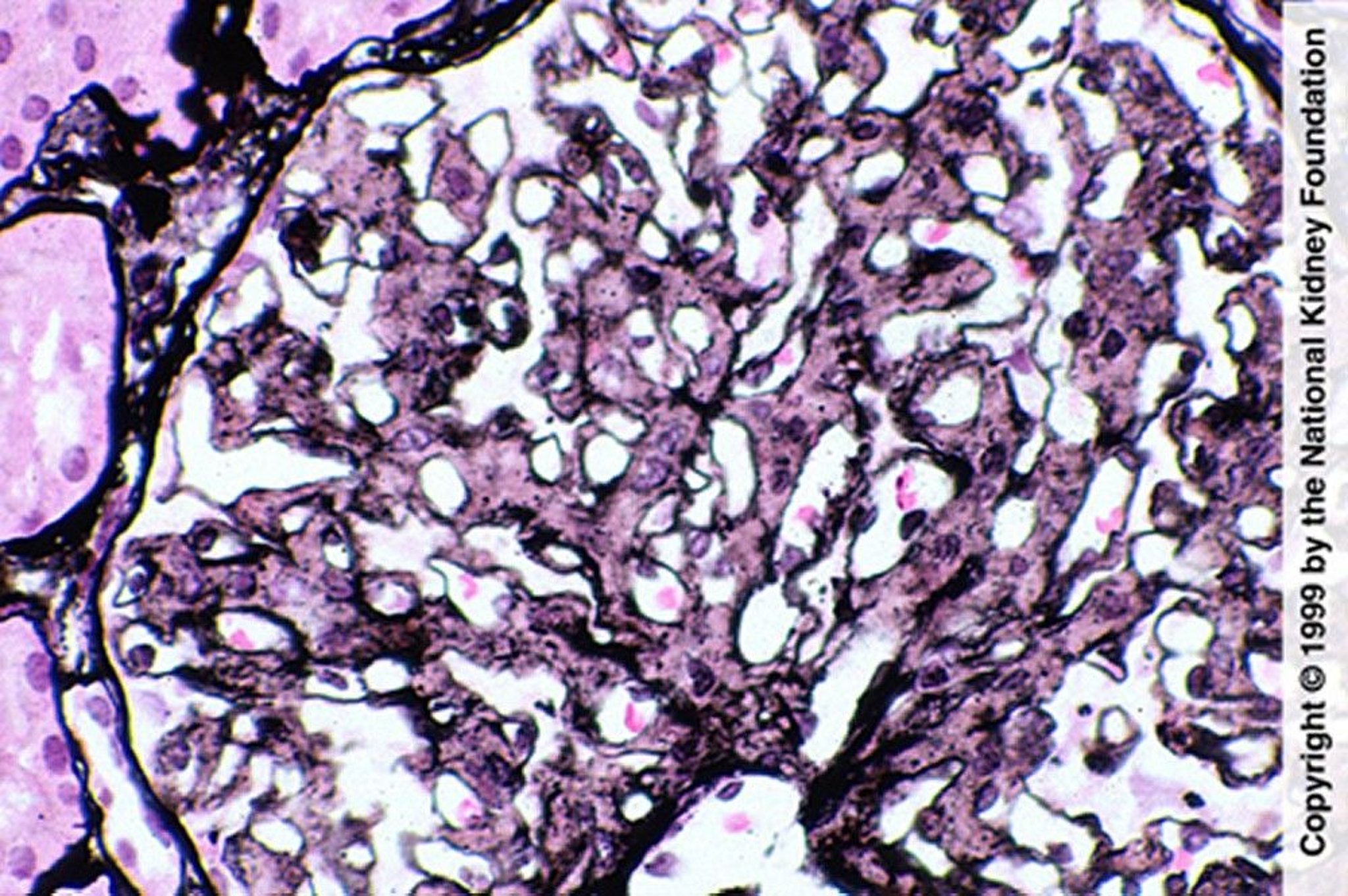
Fibrillary Glomerulopathy (Mesangial Proliferation)
Mesangial proliferation is suggestive of fibrillary glomerulopathy; however, the diagnosis requires negative Congo red stain, IgG staining by immunofluorescence, and demonstration of fibril on electron microscopy (Jones silver stain, ×400).
Image provided by Agnes Fogo, MD, and the American Journal of Kidney Diseases' Atlas of Renal Pathology (see www.ajkd.org).
In these topics
