honeypot link
skip to main content
  • follow us on facebook
  • follow us on Instagram
  • follow us on Youtube
  • follow us on Twitter
MSDMerck ManualProfessional Version
MEDICAL TOPICSRESOURCESDRUG INFOCOMMENTARYPROCEDURESQUIZZESABOUT US
homeMEDICAL TOPICSRESOURCES
Search icon
  1. <Images
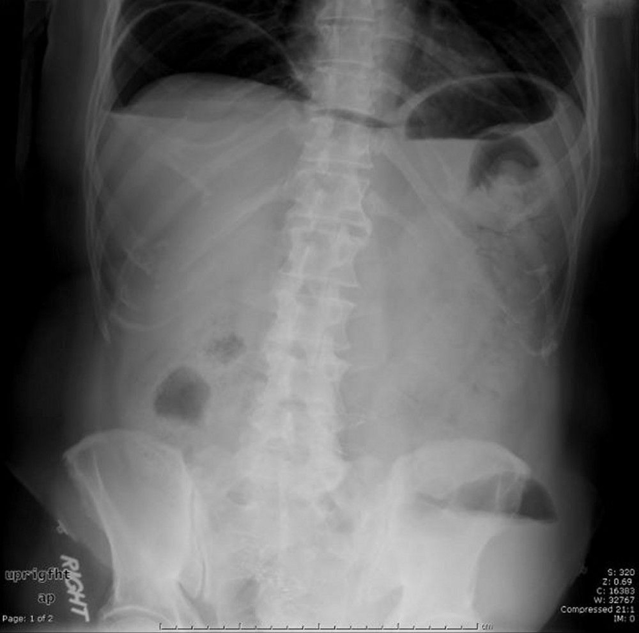
    Free Air

    Free Air

    This abdominal radiograph shows free air caused by a perforation.

    Image provided by Parswa Ansari, MD.

    In these topics
    • Acute Perforation of the Gastrointestinal Tract >
    • Peptic Ulcer Disease >
    MSD
    • About
    • Disclaimer
    • Permissions
    • Privacy
    • Cookie Preferences
    • Terms of use
    • Partnerships
    • Contact Us
    • Global Medical Knowledge
    • Veterinary Manual
    • Print Editions
    • Mobile App
    • follow us on facebook
    • follow us on Youtube
    • follow us on Twitter
    • follow us on Instagram
    This icon serves as a link to download the eSSENTIAL Accessibility assistive technology app for individuals with physical disabilities. It is featured as part of our commitment to diversity and inclusion. M
    • follow us on facebook
    • follow us on Youtube
    • follow us on Twitter
    • follow us on Instagram
    This icon serves as a link to download the eSSENTIAL Accessibility assistive technology app for individuals with physical disabilities. It is featured as part of our commitment to diversity and inclusion. M
    MSD

    Copyright© 2026Merck & Co., Inc., Rahway, NJ, USA and its affiliates. All rights reserved.