Hypertrophic Cardiomyopathy (Apical Variant)
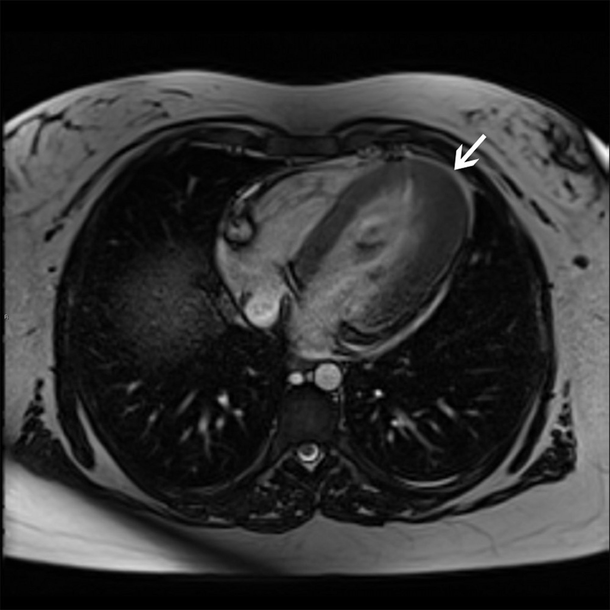
This cardiac MRI shows apical hypertrophy variant (arrow) of hypertrophic cardiomyopathy.
© 2017 Elliot K. Fishman, MD.
In these topics
This cardiac MRI shows apical hypertrophy variant (arrow) of hypertrophic cardiomyopathy.
© 2017 Elliot K. Fishman, MD.