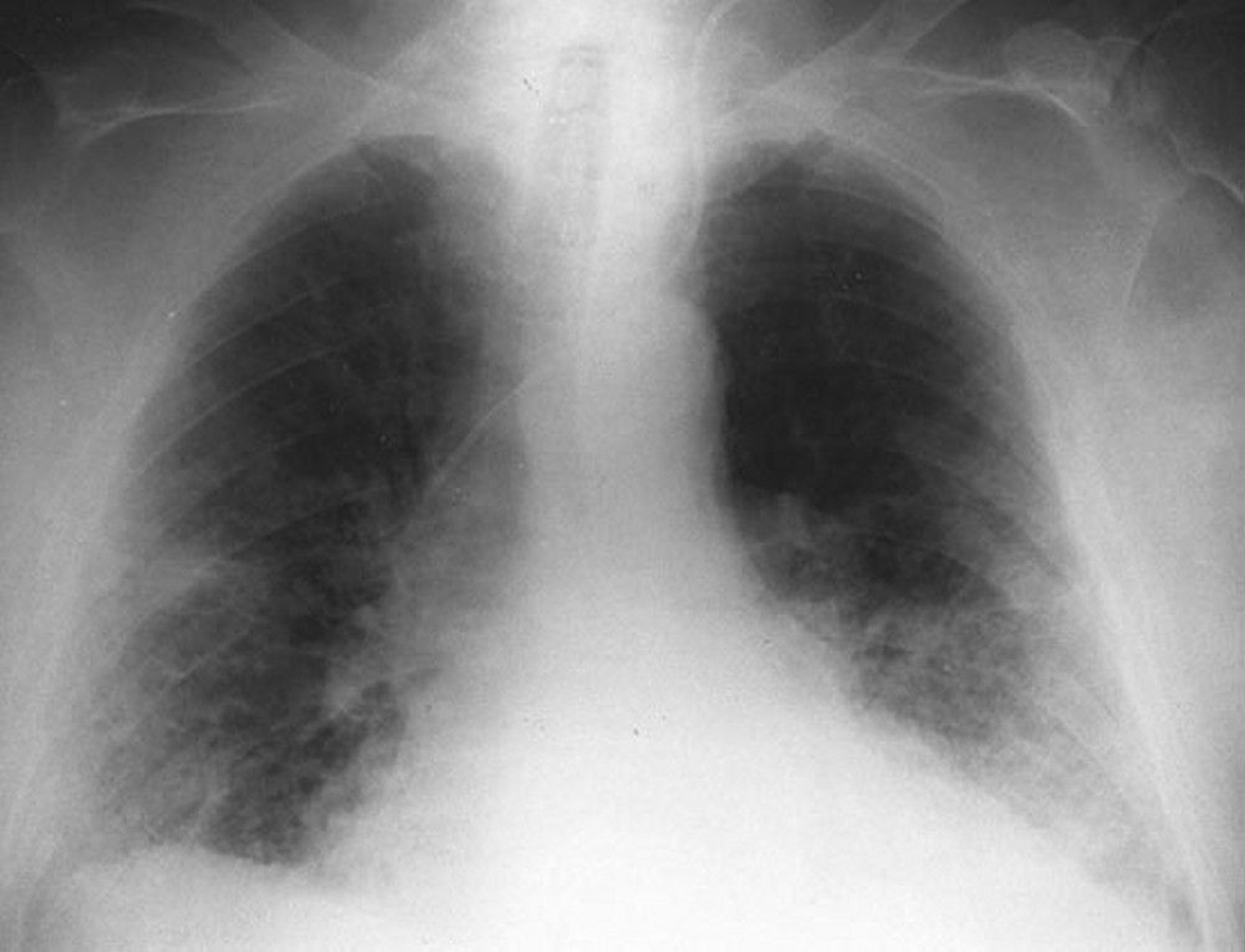
Interstitial Opacities
Bilateral interstitial opacities in an older male with respiratory syncytial virus pneumonia.
By permission of the publisher. From Betts R, Falsey A, Hall C, et al. In Atlas of Infectious Diseases: Pleuropulmonary and Bronchial Infections. Edited by GL Mandell (series editor) and MS Simberkoff. Philadelphia, Current Medicine, 1996.
In these topics
