Kienböck Disease (Oblique Radiograph)
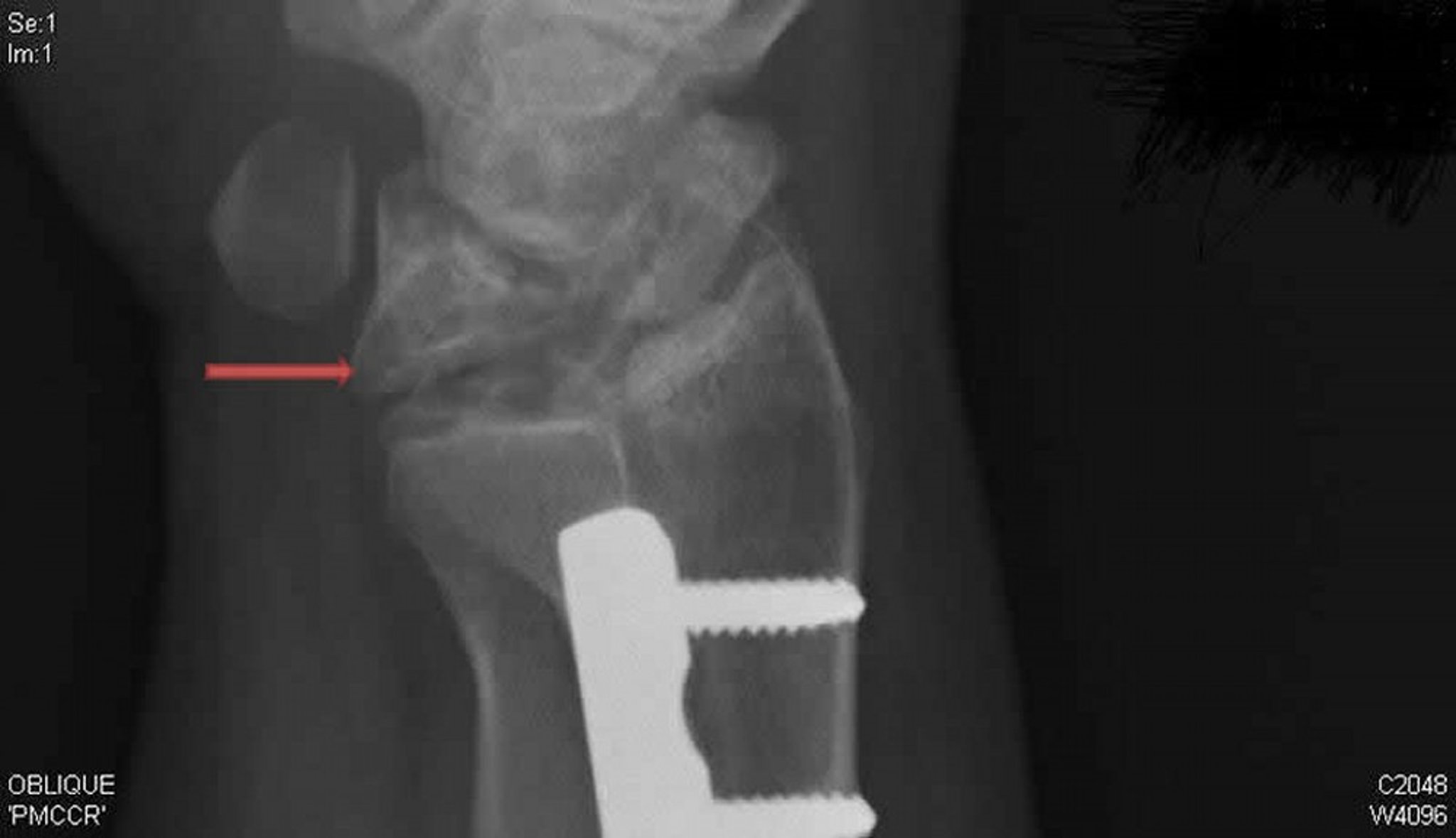
This oblique radiograph of the right wrist shows Kienböck disease. Note the collapse and fragmentation of the lunate bone (arrow), which was not apparent on the posteroanterior view.
Radiograph courtesy of David R. Steinberg, MD.
In these topics
