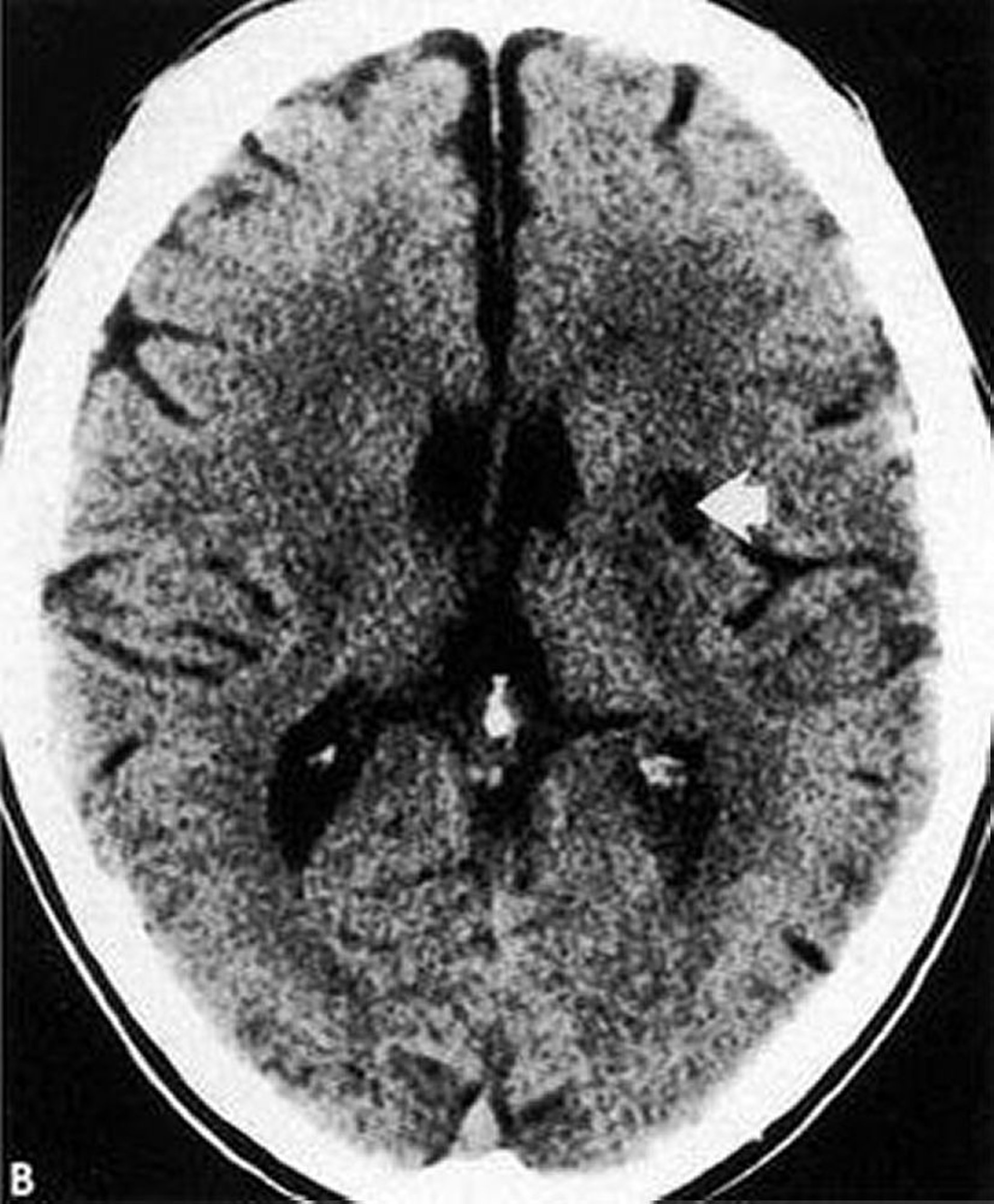
Lacunar Infarct
This CT scan shows a low-density, well-defined lacunar infarct (arrow) within the basal ganglia.
By permission of the publisher. From Geremia G, Greenlee W. In Atlas of Cerebrovascular Disease. Edited by PB Gorelick and MA Sloan. Philadelphia, Current Medicine, 1996.
In these topics
