Lisfranc Fractures
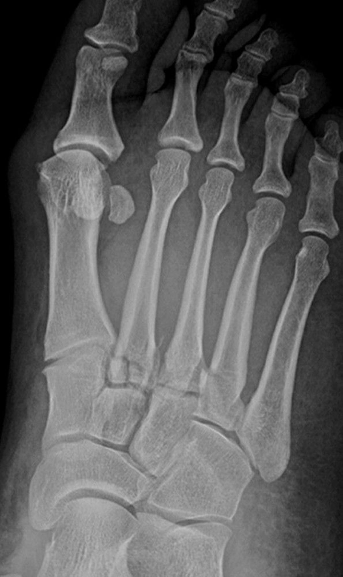
This radiograph shows fractures at the base of the 2nd, 3rd, and 4th metatarsals. The tarsometatarsal joints are also disrupted.
Image courtesy of Danielle Campagne, MD.
In these topics
This radiograph shows fractures at the base of the 2nd, 3rd, and 4th metatarsals. The tarsometatarsal joints are also disrupted.
Image courtesy of Danielle Campagne, MD.