Midshaft Femur Fracture (2)
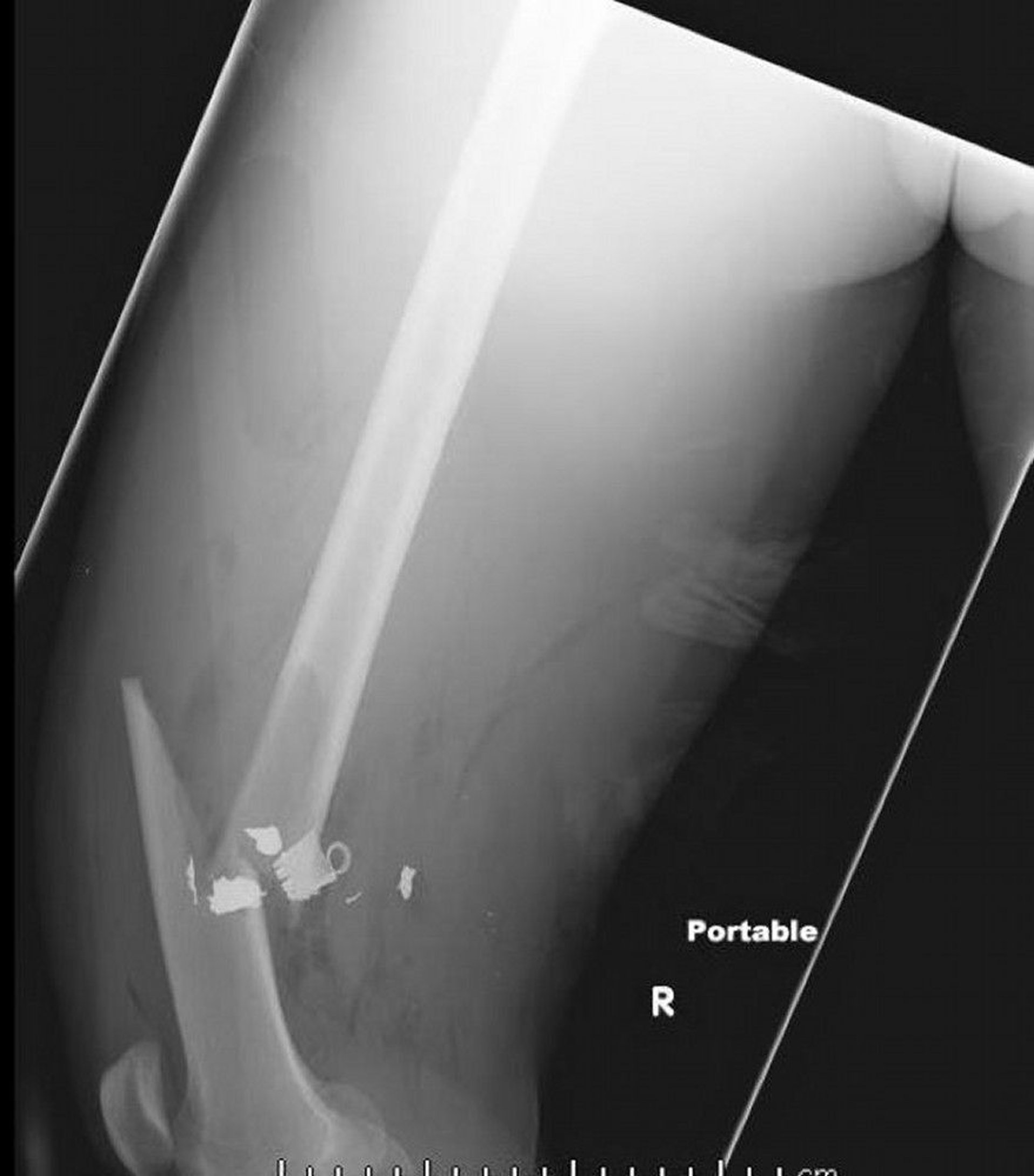
This lateral femur radiograph shows a midshaft femur fracture with soft tissue air and retained metallic density foreign bodies.
Image courtesy of Danielle Campagne, MD.
In these topics
This lateral femur radiograph shows a midshaft femur fracture with soft tissue air and retained metallic density foreign bodies.
Image courtesy of Danielle Campagne, MD.