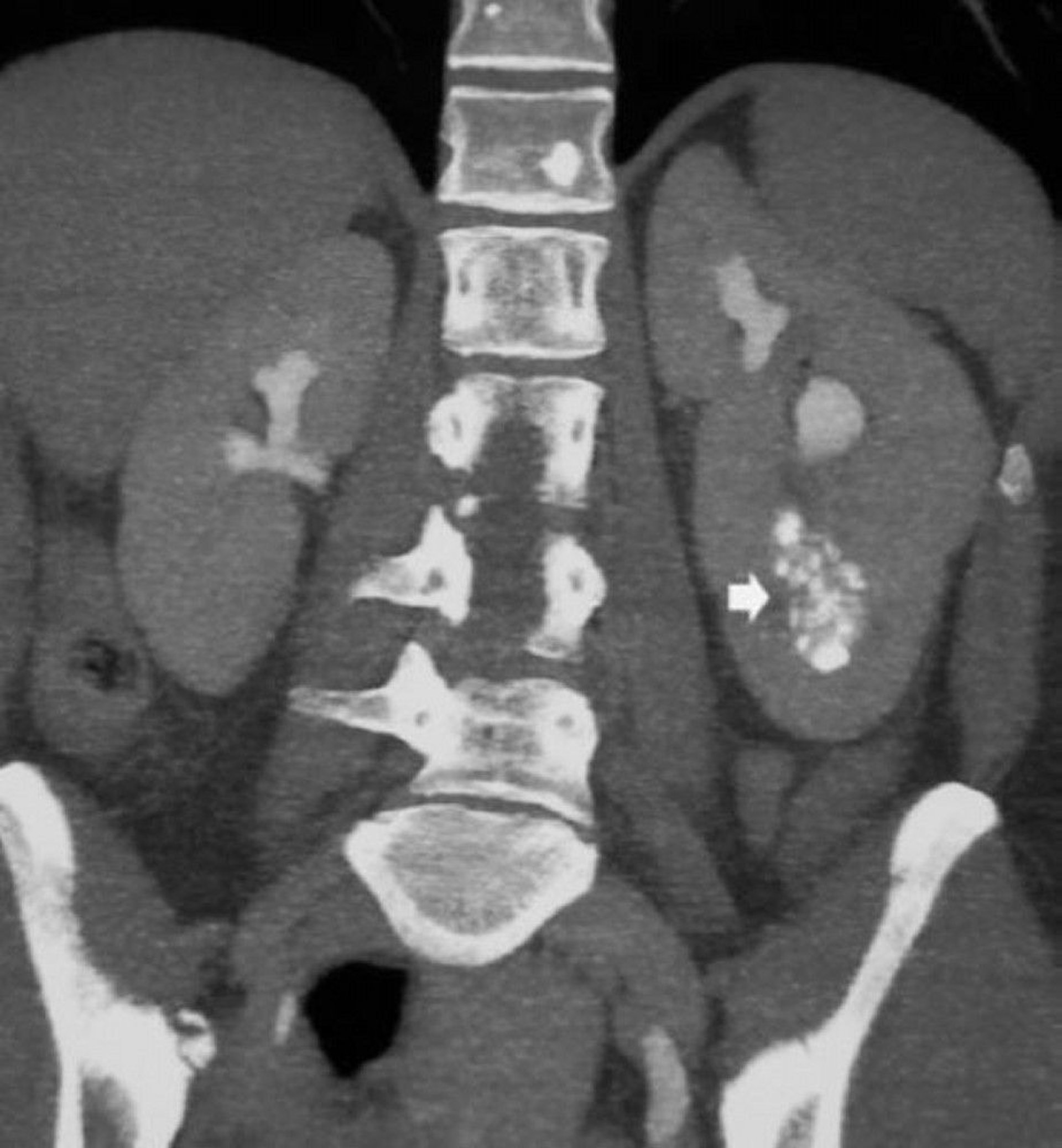
Noncontrast Coronal CT Scan Showing Medullary Nephrocalcinosis
This image shows medullary nephrocalcinosis and dilated contrast-filled collecting ducts in a patient with renal medullary sponge kidney (arrow).
© Springer Science+Business Media
In these topics
