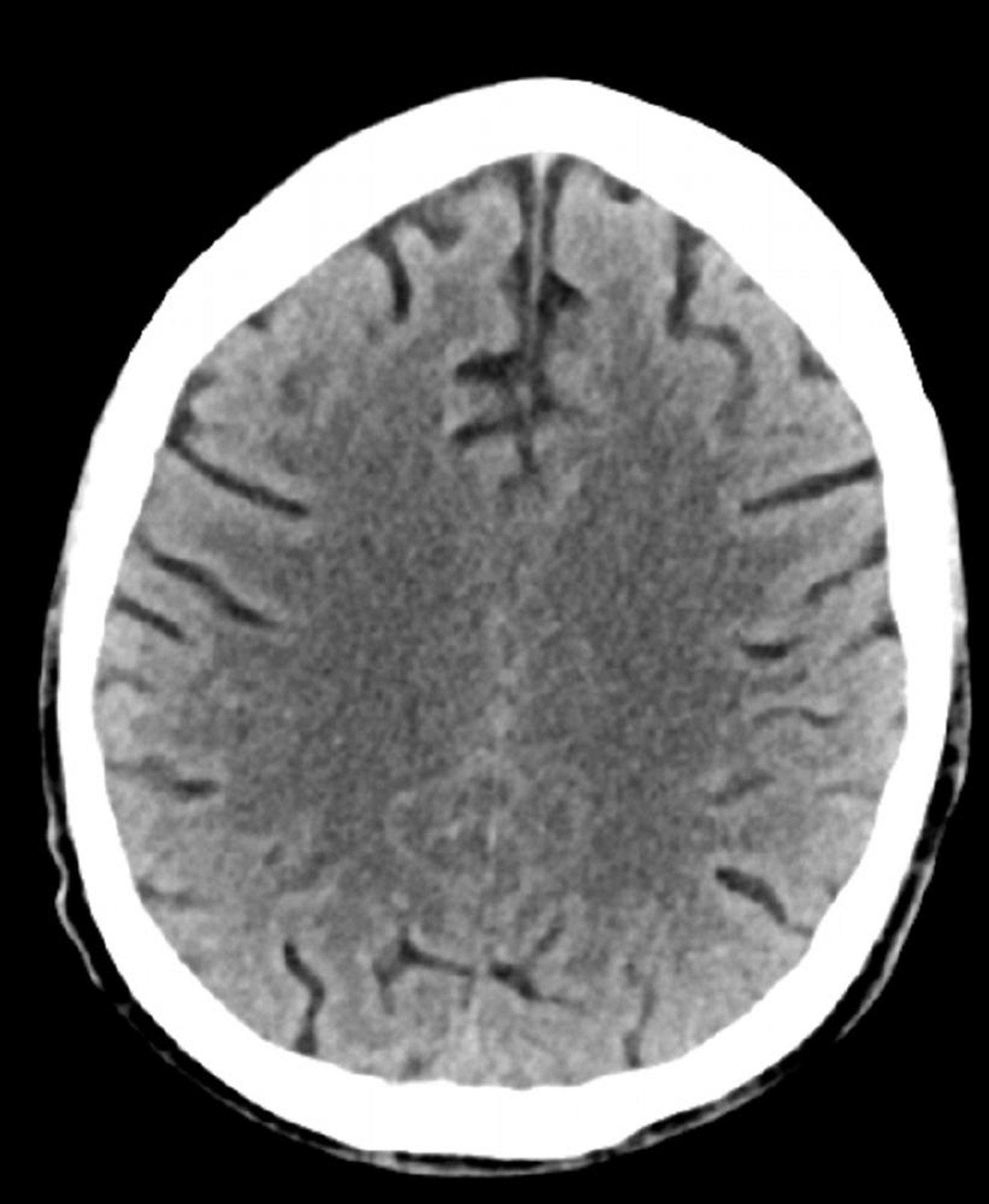
Normal Head CT Scan (Adult, Age 74) – Slide 2
This image is a normal CT scan of the head of an adult aged 74. When compared with the normal CT scan of the head of a 30-year-old, the sulci are larger. These findings are normal in this age group.
© 2017 Elliot K. Fishman, MD.
In these topics
